MUTACIJE I MUTAGENEZA
Genetika je nauka o nasljednosti. Osnovna pitanja genetike
uključuju: fenomen nasljeđa, molekularnu prirodu genskog materijala, načine
na koji geni kontroliraju metabolizam i razvoj, distribucija i ponašanje
gena u populacijama. Glavne grane genetike: KLASIČNA (transmisijska) genetika,
MOLEKULARNA genetika proučava strukturu i funkciju gena na molekularnoj
razini, POPULACIJSKA genetika proučava ponašanje gena u populaciji, CITOGENETIKA
proučava nasljednost na nivou kromozoma i ostalih staničnih organela,
KVANTITATIVNA genetika.
U svakoj modernoj živoj ćeliji na svijetu se nalazi centralni kontrolni
sistem, zapis na osnovu koga ćelija funkcioniše, na osnovu koga se razmnožava,
i koji kontroliše njeno ponašanje. Ovaj kontrolni sistem se sastoji od
DNK, deoksiribonukleninske
kiseline.

DNK sadrži informacije
u vidu nizova baza: adenozina, timina, guanina i citozina, koji se najčešće
označavaju skraćeno kao A, T, G i C. Nizovi ove četiri baze čine genetski
kod, na osnovu koga život funkcioniše. Ovaj kod, kada se napiše slovima,
obično izgleda kao dugačak, besmislen niz slova: ATGCCTAAATCTG...
GENI su nosioci nasljednih svojstava. Onis su dio molekule DNA u smjeru
3’-5’.To je nasljedni materijal koji se prenosi od generacije na generaciju.
Smješteni su u hromozomima u tzv. GEN-LOKUSIMA. Svaki gen u okviru DNK
sadrži informaciju o jednom određenom proteinu. Proteini nastaju na osnovu
gena, i geni djeluju tek kroz proteine napravljene na osnovu njih. Gen
da bi došao od DNA do proteina mora proći procese transkripcije i translacije.
Zadnja tri slova, UAG, čine tzv. stop kodon, koji daje signal ribozomu
da na tom mjestu treba da prestane sa daljom sintezom proteina.
Primjer jednog lanca: AUG GUG CCU AAU AUU AGC UAG
Met Val Pro Asn
Ile Ser Stop
Kao što možete vidjeti iz gornje tabele, neke aminokiseline su kodirane
samo jednim kodom (recimo, UGG je jedini kod za triptofan), ali većina
ima tri, četiri, ili više kodova. Leucin, najčešća aminokiselina, ima
čak šest različitih kodova.
Mutacija
Mutacija je promjena nasljedne informacije jednog organizma uzrokovane
promjenom redoslijeda heterocikličnih baza ili broja hromozoma,
koja nije uzrokovana segregacijom ili rekombinacijom. Mutacijom dolazi
do promjene nasljedne informacije DNK i kao posljedica toga mogu se pojaviti
promjene u pojedinačnim obilježjima.Mutacije su promjene u genetskom kodu,
do kojih može doći na mnoge načine. Svaki put kada se ćelija dijeli, recimo,
DNK mora biti iskopirana u dvije kopije, po jedna kopija za svaku novu
ćeliju. Mada je ovo kopiranje veoma precizno, ono ipak nije savršeno –
otprilike na svakih milijardu tačno iskopiranih baza, jedna biva pogrešno
prenesena. Drugi izvor su oštećenja na DNK, do kojih može doći spontano
kroz normalan život ćelije, ili kroz spoljne otrove ili negativne uticaje
(ultraljubičasto zračenje, na primjer). Kroz evoluciju, ćelije su razvile
veoma kompleksan sistem za popravku promena na DNK, ali ovi sistemi ne
samo što imaju ograničenja, već ponekad i sami izazovu dodatne greške.

Genska mutacija
Podjela po mutacije nasljednosti
Somatske mutacije su mutacije koje mogu zahvatiti sve
ćelije osim gameta. Stoga imaju odraz na ćelije organizma u kojima se
dešavaju. Ovakve mutacije nisu nasljedne. Kada se somatske mutacije pojavljuju
pojedinačno, uzrokuju slabe ili nikakve posljedice. Ako se one pospješuju
nekim mutagenima, kao što su energetska zračenja, mogu postati vrlo opasne.
Tako se između ostalog mogu normalne ćelije preobraziti u ćelije raka.
I pri starenju svakog organizma somatske mutacije igraju veliku ulogu.
Gametske mutacije su mutacije koje se preko gameta prenose
na potomstvo. Zahvataju jajne ćelije ili spermatozoide i prenose se putem
diobe ćelija na sve ostale ćelije organizma nastajućeg organizma. Ove
mutacije su vrlo značajne za evoluciju jer se prenose s generacije na
generaciju.
Podjela po promjenljivosti
Genske mutacije zahvataju samo pojedinačne gene po čemu
su i dobile naziv. One nisu vidljive pod mikroskopom. Obično se dijele
na autosomne i heterosomne genske mutacije s obzirom na kojim se hromozomu
nalazi mutirani gen.
Genske ili točkaste mutacije su promjene unutar jednog gena. Promjena
unutar jednog gen može dovesti do promjene redoslijeda aminokiselina u
proteinu, a to može promijeniti funkcioniranje tog proteina a time i strukturu
i funkcionirnje čitavog organizma. Podijela genskih mutacija: SPONTANE
I INDUCIRANE. Spontane mutacije nastaju zbog grešaka u replikaciji DNA(uzrok
biološki procesi). Inducirane mutacije – uzrok fizički i kemijski čimbenici
(uzrokuju oštečenja molekule DNA, a popravak oštečene molekule može dovesti
do mutacija).
Uzroci genske mutacije su:
• Fizički uzročnici – različita zračenja.
• Kemijski uzročnici – različiti organski i anorganski spojevi.
• Veličina gena –što je gen veći, veća je mogućnost za mutaciju.
• Genotip
• Temperatura (u vinske mušice je stopa mutacija na 27 °C 2-3X
veća nego na 17 °C).
• Starenje
• Mutageni
Samesense ili istovijetna mutacija kada zamjenom baza
u DNA tripletu ne mijenja se raspored aminokiselina u polipeptidu.
Missense ili pogrešna mutacija – dovodi do ugradnje druge
amninokiseline u polipeptidni lanac.
Nonsense ili besmislena mutacija kada se npr.supstitucijom
promjeni triplet za aminokiselinu u šifru za svršetak translacije. Frameshift
mutacija - kada adicijom ili delecijom dolazi do promjene (pomaka) u okviru
čitanja genske šifre na tripletu.
Posljedice genske mutacije:
a) dobre - evolucijski napredak, varijabilnosti u živih
bića, bez alternativnih oblika gena nastalih mutacijom genetičari ne bi
mogli odrediti koje su karakteristike organizma genetički kontrolirane.
b) loše – benigne mutacije – razlike u boji očiju , kose,
osobina ličnosti,
patogeni efekt –pojava bolesti ili čak smrti.
c) tihe mutacije ne očituju se u fenotipu.
Hromozomske mutacije zahvataju hromozome
i vidljive su pod mikroskopom. Razlikujemo numeričke hromozomske mutacije,
ukoliko je došlo do numeričke hromozomske mutacije, i strukturne hromozomske
mutacije, koje se odnose na strukturu hromozoma. Ukoliko izostane jedan
dio hromozoma, govorimo o deleciji, a ako se jedan dio udvostruči, o duplikaciji.
Ako dva dijela hromozoma zamijene svoja mjesta, radi se u translokaciji.

Hromozomska mutacija sprastih eritrocita
Kromozomske mutacije su velike promjene u genomu – osnovnom haploidnom
setu kromozoma koji se nalazi u gametama (spolnim stanicama). Obuhvaćaju
promjenu broja ili promjenu strukture kromozoma.
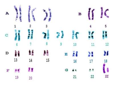
Humani kariotip se sastoji od 23 kromozomska para (22 para autosoma i
1 par spolnih kromozoma) te ga možemo nazvati hromozomskom osobnom kartom
jer nam daje prikaz svih 46 ljudskih hromozoma u kojima je “zapakirano”
cijelo ljudsko nasljeđe. Ti hromozomski parovi su različitih veličina
i imaju različit položaj centromera.

Kariotip muške osobe
Strukturne promjene hromozoma (hromozomske aberacije)
Nastaju zbog pogrešaka tijekom krosingovera ili zbog loma hromozoma.
Hromozomi se mogu lomiti spontano ili zbog djelovanja poznatih (npr.virusna
zaraza) ili nepoznatih uzroka. Hromozomske aberacije pojavljuju se dosta
često; kod otprilike jednog od svakih 500 novorođenčadi.
Delecija je gubitak hromozomskog segmenta kao posljedica
loma hromozoma. Javljaju se različite nepravilnosti ovisno o veličini
i važnosti dijela hromozoma koji nedostaje. Delecije su obično smrtonosne
za gamete životinja i čovjeka.

Duplikacije
Nastaju kada je neki gen udvostručen, odnosno javlja se više od dva puta
u diploida. Posljedica su grešaka tijekom krosingovera. Manje su štetne
od delecija jer nema gubitka nasljedne tvari.
Inverzije
Nastaju tako što se isti hromozom prelomi na dva mjesta, taj se segmet
rotira za 180° te se opet pričvrsti. Kod inverzije nema duplikacije niti
gubitka nasljedne tvari, no zbog obrnutog rasporeda gena homologni hromozomi
se ne mogu spariti čitavom svojom duljinom. Inverzija može ali ne mora
imati neželjene posljedice. Može uzrokovati poremećaje kao što su teška
mentalna zaostalost,mala glava (mikrocefalija), prirođene srčane mane
i druge veće razvojne mane.
Translokacije
Nastaju kada se sa dva različita hromozoma odlome dva segmenta koja zatim
zamijene svoje položaje. Može se pojaviti spontano u vrijeme začeća ili
se može naslijediti i prenositi kroz naraštaje.

Promjene broja hromozoma
Promjena broja hromozoma može zahvaćati sve hromozome u hromozomskom
setu – euploidija, ili samo pojedine hromozome – aneuploidija.
Neka stanica može imati manjak hromozoma dok ih druga može imati previše.
Monoploidi (haploidi) – organizmi koji imaju jedan set hromozoma Poliploidi
–organizmi s tri ili više setova hromozoma. Aneuploidija može nastati
nepravilnim razdvajanjem hromozoma tijekom mejoze poliploida. Najčešće
zahvaća 13., 18. i 21. hromozom.
Najpoznatije bolesti uzrokovane aneuploidijom autosoma su: Downov
sindrom, Edwardov sindrom i Patauov sindrom.
Downov sindrom - Trisomija 21. hromozoma, G21
Javlja se kod 1 od oko 700 novorođenčadi (najčešći autosomni poremećaj).
93% slučajeva Downovog sindroma
nastaje zbog nerazdvajanja u mejozi. Osobe žive u prosjeku oko 18 god.,
mentalno su retardirane i imaju određene fizičke osobine: mongoloidno
postavljene oči, niski rast, široka i kratka lubanja,nabor kože u stražnjem
dijelu vrata, zdepasti udovi.
Edwardov sindrom - Trisomija 18. hromozoma
Javlja se kod 1 od oko 5000 poroda. Većinom zahvaća ženski spol. Osobe
su mentalno retardirane, izgledaju poput patuljaka s malim nosom i ustima
te abnormalnim uškama. Mortalitet 80-90% do druge godine života.
Patauov sindrom - Trisomija 13. hromozoma
Javlja se kod 1 od oko 5000 poroda. Osobe su jako mentalno retardirane,
javljaju se razne bolesti. Smrtnost je velika u 1. godini života.
Turnerov sindrom 44+XO
Jedina monosomija koja u čovjeka preživljava. Osobe su ženskog spola,
niskog rasta, nemaju jajnike pa su spolno nezrele i sterilne, imaju nešto
snižen IQ. Poremećaj nastaje zbog greške u očevoj mejozi.
Klinefelterov sindrom 44+XXY
Osobe su muškog spola (zbog Y hromozoma). Nakon puberteta razvijaju im
se sekundarne ženske spolne karakteristike, sterilni su, imaju snižen
IQ.
Literatura
Miroslav Radman - Molekularna biologija i genetika Znanstvenik
Dumanović, J, Marinković, D, Denić, M: Genetički rečnik, Beograd, 1985.
Švob, T. i sradnici: Osnovi opće i humane genetike, Školska knjiga,
Zagreb, 1990.
PROČITAJ
/ PREUZMI I DRUGE SEMINARSKE RADOVE IZ OBLASTI:
|
|

preuzmi
seminarski rad u wordu » » »
Besplatni Seminarski
Radovi
|