POCETNA STRANA

Seminarski i Diplomski Rad
 
SEMINARSKI RAD IZ BIOLOGIJE <
 
OSTALI SEMINARSKI RADOVI IZ BIOLOGIJE :
Gledaj Filmove Online

 

 

 

 

 

 

KROMOSOMSKE ABERACIJE KOD ČOVJEKA

Kromosomske aberacije su anomalije u građi i/ili broju kromosoma. Bolesti koje uzrokuju su neizlječive te ostavljaju najčešće velike posljedice na život pojedinca. Iako se za njih zna, te je poznato kako mogu utjecati na život osobe, znanost još nije uspjela odgovoriti na mnoga pitanja vezana za bolesti nastale tim uzrokom. Upravo to neznanje o njima me potaknulo da krenem saznati što više o takvim bolestima. Stoga, glavna tema ove maturalne radnje su kromosomske aberacije koje se javljaju u čovjeka. To su nagle, iznenadne i neočekivane promjene genotipa. Čimbenici mogu biti različiti, a mutacije se mogu dogoditi i spontano, tj. biti nepoznatog uzroka.

 Rad sam podijelio na više dijelova. U prvom dijelu sam objasnio građu i ulogu kromosoma, tj. uzročnika većine bolesti. Slijede dvije promjene koje sam detaljno opisao koje se javljaju u kromosomima, a to su mutacije u broju kromosoma i mutacije u građi. Pri kraju svakog poglavlja sam naveo i bolesti uzrokovane kromosomskim aberacijama, te naveo pobliže njihove uzroke i simptome.

2. KROMOSOMI – GRAĐA I ULOGA

2.1. KROMOSOMI

Iako su se kromosomi promatrali već potkraj 19. stoljeća, tek 1956. godine Tjio i Levan dokazuju da se ukupno u stanicama čovjeka nalazi 46 kromosoma. Vrlo brzo nakon ovog otkrića Ford i Hamerton utvrđuju 23 kromosoma u spermatocitama čovjeka. Sve veći interes za citogenetiku doveo je do potrebe za standardizacijom nomenklature iz tog područja. Konferencijom u Denveru 1960. godine, dogovorene su osnove nazivlja te se sistematizira i uvodi pojam kariotipa čovjeka, što predstavlja kromosomski komplement jedne osobe.

Citogenetika je znanost koja proučava morfologiju i ponašanje kromosoma te nastoji povezati njihva otkrića s principima opće genetike
Svaka stanica koja sadrži jezgru pripada eukariotskim stanicama. Ovdje ćemo govoriti isključivo o njima s obizrom da je riječ o kromosomskim aberacijama u čovjeka koji spada u nadcarstvo Eukariota.

2.2 GRAĐA KROMOSOMA

Kromosomi su tamno obojena tjelešca u staničnoj jezgri i kao nosioci nasljednih jedinica gena, imaju važnu ulogu u kemijskim procesima stanice. Građeni su od kromatina složenog kompleksa DNK (deoksiribonukleinske kiseline) i proteina. Kromatin nije jedinstven po svojoj građi, funkciji i ponašanju tijekom života jedne stanice.

Upravo njihovo ponašanje tijekom stanične diobe i oplodnje objašnjava prijenos nasljednih svojstava od jedne generacije na drugu.

Slika kromosoma  Slike kromosoma
Slike kromosoma

Svaka somatska stanica čovjeka ima 46 kromosoma, odnosno 22 homologna para autosoma i jedan par gonosoma (spolni par kromosoma). Spolni par kromosoma različit je u žena i muškaraca. Dok su u žena oba spolna kromosoma oblikom jednaka (XX), u muškarca su različita (XY).
Za ispitivanje osobina kromosoma najprikladniji su kromosomi stanica u stadiju metafaze s obzirom da su tada najvidljiviji. Naime, dioba stanice se sastoji od četiri dijela: profaze, metafaze, anafaze i telofaze. Metafaza je faza u kojoj kromosomi imaju najveći stupanj spiralizacije te su zbog toga najvidljiviji, a ujedno time i najlakši za promatranje
Pojedini kromosomi čovjeka se razlikuju po svojemu izgledu. Prisutne su razlike u duljini kromosoma te položaju centromere. Centromera dijeli kromosom na kratki (p) i dugi krak (q). Prema položaju centromere razlikuju se metacentrični (kromosom s medijalno smještenom centromerom i približno jednakom dužinom kratkog i dugog kraka), submetacentrični (centromera je bliža jednom kraju kromosoma te postoji razlika u duljini krakova),

Slika metacentricnog kromosoma
Slika metacentričnog kromosoma

Slika submetacentricnog kromosoma
Slika submetacentričnog kromosoma

i akrocentrični (morfološki tip kromosoma gdje postoji razlika u veličini kratkog i dugog kraka nekoliko puta; centromera smještena skoro na samom kraju).

Slika akrocentricnog kromosoma
Slika akrocentričnog kromosoma

2.3. GRAĐA DNK

Kromosomi su, ranije smo rekli, građeni od molekula DNK i proteina. DNK je kratica za deoksiribonukleinsku kiselinu. U ljudskim stanicama DNK je smještena u staničnoj jezgri. Deoksiribonukleinska kiselina je nukleinska kiselina oblika dvostruke, spiralno zavijene zavojnice koja sadrži genetičke odrednice za specifični biološki razvoj staničnih oblika života i većine virusa.

DNK je dugački polimer nukleotida i kodira redoslijed aminokiselina u proteinima koristeći genetički kod tj. trostruki kod nukleotida.

DNK je građena od dušične baze koja može biti adenin, guanin, timin, citozin. Sve sadrže ugljik, vodkik, kisik i dužik osim adenina koji nema kisik. Prve dvije spadaju u purinske baze, a zadnje dvije u pirimidinske. Razlika je u tome što su purinske biciklične, građene od dva prstena, dok su pirimidinske građene od samo jednog prstena te su samim time i lakše.

DNK – slika i velicina
DNK – slika i veličina

Sastoji se još i od ugljikohidrata pentoze – deoksiriboze (C5H10O4) te fosfatne skupine (PO43-) koja se nalazi između svake deoksiriboze.
U molekuli DNK, spajaju se samo komplementarne dušične baze, i to adenin i timin, te guanin i citozin. Zanimljiv je i način replikacije DNK. Ona sama sebi služi kao matrica za umnažanje, te se to još i naziva ''semi konzervativan način replikacije''.
Odvija se tako da se lanac molekule DNK prethodi prvo despiralizira. Pri tome dolazi do raskidaa vodikovih veza. Za replikaciju DNK, potrebno je prisustvo čitavog niza enzima, a najvažniji su: nukleaza, ligaza i polimeraza.
Nakon pucanja vodikovih veza, nukleotidi se visše ne drže zajedno te se zavojnica dijeli na dva dijeli. Dolaze nukleotidi iz citoplazme na ostavljena prazna mjesta te ih popunjuju.

Molekul DNA u replikaciji

 

3. KROMOSOMSKE ABERACIJE

Kromosomske anomalije predstavljaju veliku promjenu u genomu: promjena broja kromosoma i/ili promjena strukture kromosoma. Jedno od četiristo novorođenčadi nosi neku kromosomsku anomaliju koja može biti lakše ili teže naravi. U zdravih plodnih muškaraca je 10% spermija abnormalno zbog neke kromosomske anomalije koja opet može biti manja ili veća.

Kariotip zdrave ženske osobe
Kariotip zdrave ženske osobe
Kariotip zdrave muške osobe
Kariotip zdrave muške osobe

3.1. MUTACIJE BROJA

Svako odstupanje od normalnog broja kromosoma (euploidija) za određenu vrstu predstavlja numeričku ili brojčanu aberaciju kromosoma. Normalan broj kromosoma u tjelesnim stanicama čovjeka je 46 (diploidan broj - 2n), a 23 (haploidan broj - n) je u spolnim stanicama (gametama).

3.1.1. NASTANAK MUTACIJA BROJA

Poliploidija je numerička kromosomska aberacija karakterizirana povećanjem broja haploidne kromosomske garniture (3n, 4n, 5n itd.). Tipovi poliploidije su triploidija (3n = 69), tetraploidija(4n = 92), pentaploidija (5n = 115), itd. Ona je karakteristična više za biljke s obzirom da predstavlja jako veliku pogrješku u prepisivanju koda koju je praktički nemoguće dobiti kod životinja i ljudi. Ukoliko se ona i dogodi, nije moguće da takav organizam preživi (primjerice humani triploidni fetus ima šansu 1/1 000 000 da preživi do rođenja kada pak nastupa smrt zbog mnogobrojnih fizioloških i anatomskih defekata).
Aneuploidija je numerička kromosomska aberacija koju karakterizira promjena broja kromosoma unutar para kromosoma. Razlikujemo polisomiju i monosomiju. Postojanje 3, 4 ili 5 homolognih kromosoma predstavlja trisomiju, tetrasomiju ili pentasomiju kao tip polisomije. Od tih polisomija, najčešće se javlja trisomija, te je najmanje letalna sobzirom da druge polisomije najčešće utječu na unutarnje organe. Monosomija je vrsta aneuploidije kada umjesto dva homologna kromosoma postoji samo jedan.
Promjena broja kromosoma ima uvijek za posljedicu i promjenu fenotipa nositelja. Većina otkrivenih i opisanih kromosomopatija ima određene karakteristike kojima se razlikuje jedna od druge. Ipak u gotovo svih kromosomopatija nalaze se jače ili slabije zastupljene ove fenotipske promjene:
- mentalna i/ili somatska retardacija;
- malformacije, odnosno dismorfije lica, šake i stopala;
- malformacije unutarnjih organa, osobito srca, bubrega, mozga i crijeva;
- abnormalnosti vanjskog spolovila;
- patološki dermatoglifi.
Najčešće aneuplodije i polipoloidije karakteriziraju udruženi specifični simptomi koji se nazivaju sindromima.
Promjene broja kromosoma posljedica su kromosomskog nerazdvajanja koje se može dogoditi tijekom mejoze ili mitoze. Kromosomsko nerazdvajanje tijekom mejoze označavamo primarnim ako je zametna stanica euploidna. Sekundarno nerazdvajanje se događa ako je zametna stanica već aneuploidna. Nerazdvajanje kromosoma može se dogoditi u prvoj ili drugoj mejotičkoj diobi tijekom oogeneze ili spermatogeneze, stvarajući time aneuploidne gamete.
Mitotičko nerazdvajanje događa se u ranoj postzigotičkoj fazi, a može se dogoditi i u prvoj diobi zigote. Takvim nerazdvajanjem nastaje više staničnih linija s različitim brojem kromosoma. Te stanične linije mogu biti sve aneuploidne ili predstavljati kombinaciju euploidnih i aneuploidnih linija, ovisno o tome da li se nerazdvajanje dogodilo tijekom prve diobe zigote ili tijekom kasnijih dioba stanica zametka. Novonastale aneuploidne stanice nastavit će se dalje dijeliti stvarajući tkiva s promijenjenim brojem kromosoma.
Pojavu stanica u organizmu s različitim brojem kromosoma nazivamo mozaicizmom ili miksoploidijom. Takav tip miksoploidije (kada dijeljenjem se stvaraju tkiva s promijenjenim brojem kromosoma), naziva se razvojna miksoploidija. Miksoploidija je češće vezana uz gonosome.
Jedan od mehanizama nastanka aneuploidije je i anafazno zaostajanje, pri čemu pojedini kromosom tijekom anafaznog razdvajanja zaostane i ne doputuje s ostalim kromosomima na pol diobenog vretena. Time ne biva uključen u novu jezgru, što također rezultira brojčanom aberacijom kromosoma.
Za nastanak poliploidije u čovjeka mogući su razni mehanizami: mogućnost spajanja nereduciranih gameta žene ili muškarca, polispermija, supresija prvog ili drugog polarnog tijela u oogenezi ili supresija zigote u kojoj se nakon kariokineze nije dogodila citokineza.

3.1.2. BOLESTI MUTACIJA BROJA

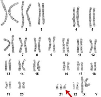
1. Downov sindrom trisomija 21 (47,XX,+21 ili 47,XY,+21)
Downov sindrom uzrokuje pogrešan prijenos kromosoma tijekom stanične diobe spolnih stanica, tako da se u jednoj stanici nađe višak cijelog ili dijela jednog kromosoma, kromosoma koji je numeriran brojem 21. U tom slučaju stanice ne sadrže 46 kromosoma, već 47 jer se pojavljuje jedan prekobrojni kromosom, kromosom broj 21. Budući da postoje tri kopije 21. kromosoma, Downov sindrom se često još naziva i "trisomija 21".
Osim klasične trisomije 21, postoje i pacijenti s Downovim sindromom koji imaju dvije različite vrste stanica, jednu s normalnim brojem kromosoma, a drugu s 47 kromosoma, tj. mozaicizam. Postoji i treći oblik, kada se dio 21. kromosoma odvoji tijekom podjele stanica i ''uhvati'' za drugi kromosom, pa ne dolazi do promjene ukupnog broja kromosoma (uobičajena translokacija). Dakle, iako je ukupan broj kromosoma 46, prisutnost odvojenog dijela 21. kromosoma uzrokuje pojavu simptoma Downovog sindroma.
Mozaicizam se javlja u samo jedan do dva posto slučajeva Downova sindroma, a translokacija se javlja u tri do četiri posto slučajeva.
Poznato je da kod žena iznad 35 godina starosti postoji veća vjerojatnost (1 od 400 djece) da će roditi dijete s Downovim sindromom. Rizik se s godinama povećava, do 40. godine života on iznosi 1:110, a do 45. godine života čak 1:35 .
Postoji preko pedeset karakterističnih obilježja Downovog sindroma, a njihov broj i intenzitet razlikuje se od djeteta do djeteta. U dijagnozu Downova sindroma najčešće se može posumnjati odmah nakon poroda, zbog specifičnog fizičkog izgleda djeteta.

Rizik pojave Daunovog sindroma

Najčešća karakteristična obilježja izgleda djeteta s Downovim sindromom su:

  • Mišićna hipotonija, smanjenje napetosti mišića,
  • Široki vrat. Dijete može imati kratak, široki vrat s previše kože i masnog tkiva,
  • Kosi položaj očnih otvora (obilježja lica osoba monogolske rase, od čega je bio uvriježen naziv "mongoloizam"),
  • Okruglo lice izravnanog profila,
  • Abnormalni oblik uški,
  • Kratke šake, na dlanu postoji specifična poprečna brazda,
  • Malena usta i nos s neproporcionalno velikim jezikom,
  • Kratke i široke ruke i noge, često postoji i velik razmak između nožnog palca i susjednog prsta,
  • Kraći prsni koš neobičnog oblika,
  • Malena glava.

Slika osobe s Downovim sindromom
Slika osobe s Downovim sindromom

Kod djece i odraslih s Downovim sindromom postoji veći rizik od urođenih bolesti ili kasnije pojave nekih bolesti, poput:

  • Srčanih bolesti. Oko 50 posto djece s Downovim sindromom rađa se s prirođenim srčanim greškama koje je potrebno liječiti u ranoj životnoj dobi,
  • Bolesti štitnjače - javljaju se kod otprilike 15 posto djece s Downovim sindromom. Ponekad se otkrivaju odmah nakon rođenja, no najčešće se javljaju kada je dijete starije ili kod odraslih,
  • Problemi s probavnim sustavom - zbog hipotonije mogu se javiti zatvori,
  • Problemi s očima - postoje 60-postotni izgledi da će dijete rođeno s Downovim sindromom imati i neki problem s očima. Najčešće se radi o blažim oblicima, poput blokiranih suznih kanala, astigmatizma, strabizma, dalekovidnosti ili kratkovidnosti, dok se rjeđe javljaju teža oboljenja poput katarakte ili bolesti rožnice,
  • Alzheimerova bolest - odrasli ljudi s Downovim sindromom imaju povećani rizik od pojave Alzheimerove bolesti,
  • Leukemija - iako je vjerojatnost pojave dječje leukemije vrlo mala, odnosno manja od 1 posto, ipak je veća nego kod zdrave djece.

Kao najčešće metode za dijagnosticiranje Downovog sindroma se koriste amniocinteza i analiza materijala plodovih ovoja (horionskih resica). Obje metode anlaiziraju materijal od samog ploda. Analizu horionskih resica je moguće učiniti najranije, već između 7. i 9. mjeseca trudnoće, a uzimanje uzorka plodne tekućine (amniocinteza) se može izvesti tek minimalno 5 tjedana kasnije. Do 20. tjedna trudnoće, obje metode nose određeni rizik krvarenja, a u jako malom postotku moguć je i pobačaj.
Za majku i dijete bezopasna metoda je određivanje triju hormora iz krvi majke, te izračunavanje njihovih omjera i indirektno zaključivanje o riziku rođenja djeteta s Downovim sindromom. To je metoda tzv. triple testa. Pouzdanost je oko 60%, a postoje i lažno pozitivni nalazi.
Ultrazvučnom analizom morfologije djeteta, kao i praćenjem mjera djetetovih kostiju nije moguće zaključiti ništa o eventualnom postojanju Downovog sindroma.

 

Kariotip osobe koja ima Downov sindrom
Kariotip osobe koja ima Downov sindrom


2. Sindrom Patau - trisomija 13 (47,XX,+13 ili 47,XY,+13)

Patauov sindrom (Patau sa suradnicima 1960.god.) je poslije Downova sindroma jedna od češćih trisomija autosoma (1 : 5000 novorođenčadi) klinički karakteriziran vrlo teškim malformacijama mozga (arinencefalija), očiju (mikroftalmija ili anoftalmija), rascjepima usne, čeljusti i nepca (heliognatopalatoshiza), polidaktilijom te anomalijama srca (defekti septuma), bubrega (cistični bubrezi, potkovasti bubrezi) i probavnog trakta (malrotacije crijeva). Životna prognoza je loša i većina djece umire u prvim mjesecima života.

Kariotip osobe sa sindromom Patau
Kariotip osobe sa sindromom Patau

3. Sindrom Edwards - trisomija 18 (47,XX,+18 ili 47,XY,+18)

Prvog bolesnika s trisomijom 18 opisao je Edwards godine 1960. Učestalost Edwardsova sindroma iznosi 1 : 5000 - 8000 novorođenčadi, a u djevojčica je taj sindrom češći nego u dječaka (4:1). Glavna su obilježja: intrauterina distrofija (mala posteljica, mala porođajna težina), kraniofacijalna dismorfija (loše formirane uške, malen i uzak nos, malena mandibula, visoko nepce), kratak sternum, anomalije srca, bubrega i probavnog trakta. Postoje i karakteristične fleksijske kontrakture prstiju (2. prst preko 3., a 5. preko 4.), što je vrlo izraženo u prvim tjednima života. Prognoza je također loša, i većina djece umire tijekom prve godine života. Djeca koja žive duže obično imaju manje izražene anomalije organa, ali imaju naglašenu mentalnu zaostalost.

4. Sindrom Klinefelter (47,XXY ili 48,XXXY)

Klinefelterov sindrom je bio klinički prepoznat i prije otkrića njegova genetičkog uzroka (Klinefelter sa suradnicima, godine 1942.). Glavni su simptomi: relativno visok rast, atrofija testisa s oskudnom ili odsutnom spermatogenezom uz sterilitet i katkad mentalnu zaostalost. Budući da u pravilu nije klinički prepoznatljiv prije puberteta, sindrom se najčešće otkriva u muškaraca koji se liječe od neplodnosti, a u većini slučajeva vode normalan život. Učestalost Klinefelterova sindroma iznosi 1 : 1000 muške novorođenčadi.

5. Dvostruki "Y" sindrom ( 47,XYY)

Dvostruki-Y sindrom nije fenotipski jasno definiran pa predstavlja uglavnom citogenetički pojam. Javlja se u 1 : 1000 muške novorođenčadi, koja se većinom ne razlikuju od djece s normalnim muškim kariotipom. Uz pojačani rast tijekom puberteta zapažaju se psihičke smetnje u društvenom prilagođavanju i sklonost agresivnom ponašanju te mogući infertilitet. Još je nerazjašnjeno jesu li takve osobe genetski sklone prijestupništvu. Odgovor na to osjetljivo pitanje može imati značajne društvene, moralne i etičke posljedice.

6. Triploidija ( 69,XXX ili 69,XXY ili 69,XYY)

Triploidija se u humanoj genetici susreće uglavnom prilikom citogenetičke analize spontano pobačenih plodova. U 80% triploidija dodatna haploidna garnitura kromosoma očeva je podrijetla i dovodi do razvoja parcijalne mole hidatidoze, vrste patološke trudnoće gdje su prisutne promjene placente. Interesantno je spomenuti da u slučaju viška majčine haploidne garniture kromosoma ne dolazi do takve promjene placente. Ovaj fenomen razlike u ekspresiji gena, odnosno kromosoma s obzirom na njegovo roditeljsko podrijetlo naziva se genomic imprinting. Iznimno rijetko dolazi do rađanja djece s triploidnim kariotipom. No, budući da su simptomi dosad opisanih slučajeva prilično karakteristični, može se govoriti o sindromu triploidije. Karakterističan izgled lica, očnim kolobomima, sindaktilijom 3. i 4. prsta te mnogobrojnim anomalijama unutarnjih organa, a često je promijenjena i placenta. Vitalnost je vrlo slaba, tako da uglavnom umiru na porođaju ili nakon nekoliko dana.

3.2. STRUKTURNE MUTACIJE

Strukturne aberacije kromosoma su mutacije uzrokovane lomovima i/ili spajanjem odlomljenih krajeva. Odlomljeni dijelovi mogu promijeniti položaj na kromosomu, biti premješteni na neki drugi kromosom, zaokrenuti se unutar kromosoma ili se izgubiti tijekom stanične diobe. Ova vrsta aberacije može biti balansirana i nebalansirana, ovisno o tome postoji li višak ili manjak genetičkog materijala. Balansirane strukturne aberacije obično ne uzrokuju promjene fenotipa. Mogu nastati de novo (svježa mutacija) ili biti naslijeđene od roditelja. Dijelimo ih na intrakromosomske, u kojih je došlo do premještanja kromosomskih segmenata unutar jednog kromosoma, i interkromosomske, u kojih postoji izmjena segmenata između dva ili više kromosoma.

3.2.1 INTRAKROMOSOMSKE STRUKTURNE ABERACIJE

Delecije (del) predstavljaju gubitak kromosomskog segmenta. Izgubiti se može terminalni ili središnji dio kraka kromosoma. Uzrokuju parcijalnu monosomiju deletiranih lokusa. U slučaju terminalne delecije obaju krakova spajaju se slomljeni krajevi i oblikuje se prstenasti ili ''ring'' kromosom, koji ima centromeru. Različite terminalne delecije opisane su u čovjeka i predstavljaju klinički prepoznatljive sindrome. Primjer kariotipa: 46,XY,del(4)(p15) - Wolfov sindrom.
Inverzije su vrsta balansiranih strukturnih aberacija, uzrokovanih dvostrukim lomom. Fragment između točaka loma okrene se za 180° i ponovno ugradi u kromosom. Inverziju obično ne prate fenotipske promjene, no ukoliko se radi o mutacijama de novo, može doći do promjene fenotipa.
Nositelje inverzija najčešće otkrivamo kariotipizacijom zbog poremećaja reprodukcije: spontanih pobačaja ili rođenja abnormalnog djeteta. Ako invertirani dio kromosoma obuhvaća centromeru, inverzija je pericentrična, a ako zahvaća dio samo jednog kraka kromosoma, inverzija je paracentrična. Pericentrična inverzija mijenja oblik kromosoma, dok u paracentričnoj inverziji oblik kromosoma ostaje nepromijenjen. Inverzija ometa normalnu konjugaciju homolognih kromosoma tijekom gametogeneze te uzrokuje stvaranje inverzijske petlje.

Izokromosom (i) je tip strukturne aberacije koja nastaje poprečnom diobom centromere. Time nastaje metacentrični kromosom s genetičkim materijalom dvaju p krakova ili češće dvaju q krakova. Posljedica izokromosoma su parcijalna monosomija i parcijalna trisomija jednog kromosomskog kraka. Izokromosom je često opisan na kromosomu X, a osoba s izokromosomom i(Xq) predstavlja prepoznatljiv Turnerov sindrom. Primjer kariotipa: 46,X,i(Xq).

3.2.2. INTERKROMOSOMSKE STRUKTURNE ABERACIJE

Najčešći tip interkromosomskih aberacija su translokacije koje nastaju kao posljedica prebačaja genetičkog materijala jednog homolognog kromosoma na drugi ili izmjene kromosomskih fragmenata između dva i više heterologa. Razlikujemo recipročne i Robertsonove translokacije.

Robertsonova translokacija ili centrična fuzija događa se samo između akrocentričnih kromosoma. Nakon lomova koji nastaju u centromeri ili blizu centromere dolazi do spajanja q krakova akrocentričnih kromosoma, dok se p kraci gube. Gubitak p krakova kompenzira se genima s drugih p krakova akrocentričnih kromosoma te je stoga ova vrsta translokacija balansirana aberacija i uglavnom nema fenotipskih posljedica za nositelja. Ukoliko ova aberacija nastane kao svježa, u 3% slučajeva može se javiti neka veća promjena. Primjer kariotipa: 45,XX,der(13;21)(q10;q10) - mirni nositelj Robertsonove translokacije

Recipročne translokacije predstavljaju prebačaj odlomljenih kromosomskih fragmenata između dva ili više kromosoma. Ova vrsta translokacije može biti intersticijska ili terminalna. Primjer kariotipa: 46,XX,t(2;5)(q21;q31) - mirni nositelj recipročne translokacije.

Osobe koje su nositelji Robertsonove ili recipročne translokacija mogu pored nebalansiranih gameta stvarati i balansirane gamete te tako imati i zdravu djecu. Stoga se tim osobama preporuča prenatalna dijagnostika (npr. amniocenteza). Na žalost, nositelji translokacija otkrivaju se tek nakon više spontanih pobačaja ili rođenja malformiranog djeteta.

Sindrom Turner - 46,X,i(Xq)

Turnerov sindrom je također klinički prepoznat znatno ranije od otkrića njegova genetskog uzroka (Turner, 1932.god.), a predstavlja rijetki primjer mutacije spojive s gotovo normalnim trajanjem života. Učestalost iznosi 1: 2500 ženske novorođenčadi, a pretpostavlja se da se tek 1 : 40 djece s Turnerovim sindromom rađa, dok preostali bivaju spontano pobačeni u prvim mjesecima trudnoće.

Kromosomske aberacije

Parcijalna monosomija i parcijalna trisomija jednog kromosomskog kraka u kombinaciji čine strukturnu mutaciju, tzv. izokromosoma.
Prepoznatljivi simptomi su malena težina i dužina pri porođaju, a na licu postoji mikrognatija, epikantus, ptoza jednog ili oba gornja očna kapka, uz loše formirane i nisko postavljene uške. Vrat je kratak uz kožne nabore, koji se protežu od uha do ramena. Kosa završava na vratu nisko s ravnom linijom, koža je često bogata pigmentiranim nevusima i zglobovi su hiperelastični.

Mogu postojati anomalije srca (20%) i anomalije bubrega (40-60%). Odrasle osobe dosegnu visinu od približno 150 cm, uz primarnu amenoreju, sterilnost i izostanak sekundarnih spolnih oznaka. Umjesto ovarija postoje samo fibrozni tračci, a stanica zametnog epitela nema. Psihički je razvoj normalan u većine, a u manje od 20% djece javlja se mentalna zaostalost. Životna prognoza djeteta s Turnerovim sindromom ovisi o postojanju i težini anomalija srca i bubrega, a rast u visinu i fertilitet ne mogu se popraviti. Nasuprot tome, supstitucijskom cikličkom terapijom estrogenima i progesteronom u doba inače očekivanog puberteta, može se izazvati pojava sekundarnih spolnih oznaka, te izbjeći pojava psihičkih smetnji i rana osteoporoza.

Kariotip osobe sa Turner sindromom


ZAKLJUČAK

U ovoj temi sam obradio aberacije kromosoma koje se javljaju u čovjeka. Radom sam želio objasniti neke probleme i njihove uzroke, te razjasniti zašto dolazi do takvih bolesti.

Nažalost, medicina kao znanost se još nije dovoljno razvila da bismo izliječili ili barem pravovremeno zaustavili te mutacije, te trenutno jedini mogući način za postupanje s oboljelima je pružanje njege i ljubavi koja im je itekako potrebna u njihovom životnom putu.

Saznali smo koliko se ranije može saznati hoće li novorođenče biti zdravo, načine na koje ćemo to saznati, te da li možemo poduzeti išta da barem smanjimo postotak mogućnosti da se bolest pojavi.

Saznali smo zbog kojih se promjena događaju neke bolesti, ali ipak nismo uspjeli saznati zašto dolazi do tih promjena. Stoga se nadam da će u slijedećem stoljeću medicina ipak dovoljno se razviti da otklonimo i još jedan spektar bolesti od kojih trenutno nemamo obrane.

LITERATURA:
  • Opća enciklopedija, sv. 7, JLZ, Zagreb, 1981;
  • Medicinska enciklopedija, svezak 2 i svezak 6, JLZ, Zagreb, 1969;
  • http://www.biol.pmf.hr/e-skola/odgovori/odgovor219.html;
  • http://www.znanje.org/i/i21/01iv11/01iv1129/gradja.html;
  • http://www.medri.hr/katedre/Biologija/Strucna%20djelatnost/citogenetika.html;
  • http://www.biol.pmf.hr/uploads/media/KROMOSOMSKE_ANOMALIJE.pdf;
  • http://www.radiobiologija.vef.hr/skripta/RAD30-34.html;
  • Oskar Springer, Dražena Papeš, Mirjana Kalafatić, Biologija 4, Profil, Zagreb, 1998.;
  • Mirjana Pavlica, Josip Balabanić, Genetika i evolucija, ŠK, Zagreb, 2007.

 

PROČITAJ / PREUZMI I DRUGE SEMINARSKE RADOVE IZ OBLASTI:
ASTRONOMIJA | BANKARSTVO I MONETARNA EKONOMIJA | BIOLOGIJA | EKONOMIJA | ELEKTRONIKA | ELEKTRONSKO POSLOVANJE | EKOLOGIJA - EKOLOŠKI MENADŽMENT | FILOZOFIJA | FINANSIJE |  FINANSIJSKA TRŽIŠTA I BERZANSKI    MENADŽMENT | FINANSIJSKI MENADŽMENT | FISKALNA EKONOMIJA | FIZIKA | GEOGRAFIJA | HEMIJA I INFORMACIONI SISTEMI | INFORMATIKA | INTERNET - WEB | ISTORIJA | JAVNE FINANSIJE | KOMUNIKOLOGIJA - KOMUNIKACIJE | KRIMINOLOGIJA | KNJIŽEVNOST I JEZIK | LOGISTIKA | LOGOPEDIJA | LJUDSKI RESURSI | MAKROEKONOMIJA | MARKETING | MATEMATIKA | MEDICINA | MEDJUNARODNA EKONOMIJA | MENADŽMENT | MIKROEKONOMIJA | MULTIMEDIJA | ODNOSI SA JAVNOŠĆU |  OPERATIVNI I STRATEGIJSKI    MENADŽMENT | OSNOVI MENADŽMENTA | OSNOVI EKONOMIJE | OSIGURANJE | PARAPSIHOLOGIJA | PEDAGOGIJA | POLITIČKE NAUKE | POLJOPRIVREDA | POSLOVNA EKONOMIJA | POSLOVNA ETIKA | PRAVO | PRAVO EVROPSKE UNIJE | PREDUZETNIŠTVO | PRIVREDNI SISTEMI | PROIZVODNI I USLUŽNI MENADŽMENT | PROGRAMIRANJE | PSIHOLOGIJA | PSIHIJATRIJA / PSIHOPATOLOGIJA | RAČUNOVODSTVO | RELIGIJA | SOCIOLOGIJA |  SPOLJNOTRGOVINSKO I DEVIZNO POSLOVANJE | SPORT - MENADŽMENT U SPORTU | STATISTIKA | TEHNOLOŠKI SISTEMI | TURIZMOLOGIJA | UPRAVLJANJE KVALITETOM | UPRAVLJANJE PROMENAMA | VETERINA | ŽURNALISTIKA - NOVINARSTVO

Seminarski i Diplomski Rad

 preuzmi seminarski rad u wordu » » »


Besplatni Seminarski Radovi