KRONIČNA MIJELOIČNA LEUKEMIJA
Leukemija
je maligna bolest koštane srži i limfnih čvorova. Riječ leukemia
na grčkom znači bijela krv. U Hrvatskom narodu uobičajen je opis
leukemije kao bolesti u kojoj se krv pretvara u vodu. U većini slučajeva
maligna pretvorba događa se u bijelim krvnim stanicama, premda se može
dogoditi i u drugim stanicama koje sudjeluju u stvaranju krvi. Bijele
krvne stanice, leukociti, sudjeluju u obrani organizma od mogućih infektivnih
i drugih patogenih organizama. Do leukemije dolazi kada se u tijelu počinu
stvarati očigledno promijenjena bijela krvna zrnca. U tom procesu smanjuje
se količina zrelih krvnih zrnaca. Zrnca su 'promijenjena' jer ne mogu
propisno sazrijeti. Ta nesposobnost da se postigne zrelost je glavni
poremećaj u leukemiji. Nezrele stanice se nakupljaju u tijelu, ne
odumiru i ne mogu se potrošiti. Stvaranje i razaranje stanica koštane
srži strogo je kontroliran proces u kojem sudjeluje više mehanizama od
kojih neki ni do danas nisu poznati.
U leukemiji dolazi do poremećaja mehanizama regulacije, što se očituje
prekomjernim rastom i bujanjem bijelih krvnih stanica i njihovih stanica
prethodnica. Maligne bijele krvne stanice ne izgledaju normalno niti izvršavaju
svoju normalnu funkciju. Zbog nekontroliranog bujanja malignih stanica
dolazi do potiskivanja normalnih stanica u koštanoj srži, što posljedično
uzrokuje njihovu manju proizvodnju te nedostatak u perifernoj krvi. Nedostatak
normalnih stanica krvi uzrokuje nastanak simptoma koji nisu karakteristični
samo za leukemiju. Pacijent će uslijed toga možda osjetiti neke simptome
ili znakove pomanjkanja određenih krvnih stanica, npr. gubitak crvenih
krvnih zrnaca dovodi do umora i bljedila (anemije); gubitak bijelih
krvnih zrnaca dovodi do ponavljanih infekcija, a gubitak pločica dovodi
do pojave brojnih modrica i krvarenja iz nosa. Time se objašnjava zašto
često dolazi do pojave anemije, krvarenja i infekcija.
2. OBILJEŽJA LEUKEMIJE
2.1. SIMPTOMI LEUKEMIJE
Najčešći simptomi u bolesnika s leukemijom:
• zimica, temperatura ili tresavica
• slabost i nemoć
• učestale infekcije
• gubitak teka i težine
• spontana pojava sitnih crvenih točkica po tijelu veličine glave pribadače
(petehije)
• spontana pojava modrica po tijelu
• bljedilo kože i sluznica
• brzo umaranje pri naporu
• bezbolno povećanje limfnih čvorova
• povećanje slezene i/ili jetre
• noćno znojenje
• bolovi u kostima
Većina simptoma ovisi o broju malignih stanica leukemije te gdje se primarno
nalaze. Leukemija se pojavljuje u svakoj životnoj dobi, praktički od rođenja
pa do smrti.
2.2. KLASIFIKACIJA LEUKEMIJE
Leukemije se primarno dijele u dvije velike
grupe. Jedna grupa su akutne
leukemije, a druga kronične. Svaka od tih grupa dijeli
se u dva tipa. Ovisno o vrsti stanica koštane srži koje su zahvaćene
malignom pretvorbom leukemije se dijale na limfocitne i mijelocitne.
Akutna i kronična limfocitna leukemija događa se u limfocitima krvi i
koštane srži te u stanicama limfnih čvorova. Ta bolest karakterizirana
je povećanjem onih organa koji sudjeluju u radu imunološkog
sustava čija su glavna komponenta limfociti. U bolesnika s akutnom
ili kroničnom leukemijom može doći do povećanja limfnih čvorova,
slezene ili tonzila.
Akutna i kronična mijelocitna leukemija zahvaća stanice koje tvore granulocite,
stanice koje brane naš organizam od bakterija,
gljivica ili drugih infektivnih čimbenika. U tih bolesnika u pravilu nema
povećanja limfnih čvorova ili tonzila. U bolesnika s kroničnom
mijelocitnom leukemijom karakterističan je znak povećanje
slezene koje je u nekim slučajevima prvi znak bolesti i dovodi
bolesnika k liječniku.
Akutna leukemija (Acute leukaemia) se
pojavljuje kada se stanice leukemije zaustave vrlo rano u
njihovom razvoju. To znači da stanice ostaju nezrele i ne mogu obavljati
svoje funkcije.
Akutna leukemija se razvija brzo, obično
započinje naglo. Bolesnici kao prve simptome najčešće navode pojavu modrica,
slabost zbog anemije, a nerijetko se jave liječniku zbog infekcije, a
po pregledu periferne krvne
slike utvrdi se promjena u broju krvnih stanica. Većina akutnih leukemija
zahtijeva brz početak liječenja.
Kronična leukemija (Chronic leukaemia) pojavljuje
se kada se stanice leukemije zaustave kasnije u svom razvoju,
leukemija napadne 'odrasle' stanice. Broj nezrelih stanica, blasta,
u kroničnim je leukemijama manji te ne zaustavlja razvoj i djelovanje
ostalih krvnih stanica pa postoji manja mogućnost da dođe do anemije,
krvarenja i infekcije. Leukemija također napreduje puno sporije tako da
tim pacijentima ne treba uvijek trenutačno započeti liječenje, nekima
čak nikada i ne treba liječenje.

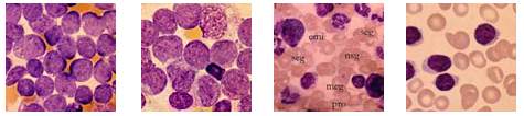
Slika 1.
Slika 2. Slika
3.
Slika 4.
Slika 1.- Koštana srž: Akutna limfocitna
leukemija, Slika 2. - Koštana srž: Akutna mijelocitna
leukemija, Slika 3. - Periferna krv: izrazito povećan
broj leukocita (granulocita) u perifernoj krvi bolesnika s Kroničnom mijeloičnom
leukemijom, Slika 4. - Periferna krv: brojni zreli limfociti
u bolesnika s Kroničnom limfocitnom leukemijom
2.3. UZROK
Uzrok leukemija je nepoznat, ali je uvijek povezan s
oštećenjem deoksiribonukleinske
kiseline (DNK). Ta oštećenja mogu biti nevidljiva na razini gena ili
uzrokovana promjenama u cijelom kromosomu ili u njegovu dijelu. Za sada
se zna da je maligna pretvorba uzrokovana aktivacijom gena koji djeluju
promotorski na dijeljenje, tzv. onkogeni, ili ukidanjem djelovanja gena
koji smanjuju snagu dijeljenja, tzv. supresorski geni. Pogreška
u radu jednog ili oba gena dovodi do nekontroliranog rasta stanica u koštanoj
srži. Još uvijek nije poznato što uzrokuje promjene u DNK,
ali je poznato da primjena citostatika ili nekih kemikalija može uzrokovati
razvoj leukemije.
2.4. RIZIČNI ČIMBENICI
Rizik nastanka leukemije raste s dobi, osim u akutne
limfocitne leukemije gdje se bilježi najveća učestalost u dječjoj
dobi. Drugi rizični čimbenici su: primjena kemoterapije, izlaganje
određenim kemikalijama ili zračenju, razvoj
oštećenja koštane srži - mijelodisplazija (raniji naziv preleukemija),
neke genetske bolesti kao što je npr. Downov
sindrom.
2.5. DIJAGNOSTIČKE PROCEDURE
Dijagnoza leukemije postavlja se na temelju: pregleda
razmaza periferne krvi, nalaza punkcije koštane srži, imunofenotipizacije
stanica periferne krvi i/ili koštane srži te citogenetskog nalaza.
Kad se uzme uzorak krvi i analizira pod mikroskopom, izbroje se u uzorku
bijela krvna zrnca i krvne pločice. Posumnjat će se ako je broj krvnih
stanica izvan normalnih vrijednosti. Moguće je da zamijetimo: nizak broj
krvnih pločica; nizak broj crvenih krvnih zrnaca;
nizak broj zrelih bijelih krvnih zrnaca; ili češće visok broj bijelih
krvnih zrnaca od kojih je većina nezrelih ili prerano ispuštenih bijelih
krvnih zrnaca (zvanih blasti)
3. KRONIČNA MIJELOIČNA LEUKEMIJA
Kronična mijeloična leukemija (kronična mijeloza,
kronična granulocitna leukemija) kronična je mijeloproliferativna
bolest koju karakterizira zloćudna klonalna preobrazba na razini pluripotentne
krvotvorne matične stanice. Glavno je obilježje bolesti izrazito
nakupljanje nezrelih i zrelih stanica granulocitne loze u koštanoj srži,
perifernoj krvi, te u jetri i slezeni. Klinički se najprije razvija
kao kronična faza koja prosječno za 3 do 4 godine prelazi u akutnu fazu
tj. akutnu leukemiju.
Etiologija i patogeneza:
Ne znaju se točni uzroci ove bolesti, ali danas je poznato da se može
pojaviti zbog genetskih faktora, izloženosti kemikalijama i radijaciji
(atomskoj bombi, liječenju ozračivanjem) ili je može uzrokovati bakterija
ili virus. Bolest može godinama biti prisutna u organizmu, a da se ne
zna za nju. U velikom broju slučajeva dijagnosticira se slučajno.
Primarna zloćudna promjena zbiva se u pluripotentnoj matičnoj hematopoeznoj
stanici. U kroničnoj fazi bolesti osnovni zloćudni leukemijski klon pokazuje
sposobnost diferencijacije i sazrijevanja. Za kroničnu mijeloičnu leukamiju
je karakteristična specifična citogenetska promjena Philadelphia (Ph1)
kromosoma.
Najčešća je u srednjoj i starijoj dobi, no pojavljuje se i kod
mlađih osoba.
Godišnja incidencija iznosi oko jedan oboljeli na 100 000 stanovnika.
Najčešće se javlja u 5. ili 6. desetljeću života.
3.1. KLINIČKA SLIKA
U prvoj, proliferacijskoj fazi
bolesnik kavodi osjećaj umora, malaksalost te znakove pojačanog metabolizma:
pojačano znojenje, povišenu temperaturu i gubitak tjelesne težine. Bolest
se otkriva na temelju rutinskog pregleda krvne slike ili nalaza splenomegalije.
U drugoj, kroničnoj fazi klinička je
slika karakteristična.
Klinička slika: Glavni su simptomi: umor, znojenje,
mršavljenje, subfebrilne temperature, boli u kostima, nelagodnost i pritisak
u gornjem dijelu trbuha. Često je izraženo bljedilo kože i sluznica, vlažnost
kože, krvni podljevi u koži, ponekad petehije na sluznicama usne šupljine,
krvarenja iz desni.Vrlo je česta splenomegalija(u oko 90% bolesnika).
Može biti jedva do golema i može sezati u malu zdjelicu. Može biti povećana
jetra (u 50%), a vrlo rijetko i limfni čvorovi.
Treća faza bolesti, tzv. Blastična kriza može
se razviti izravno iz kronične faze ili postupno preko faze ubrzanja (akceleracije).
Nije poznat molekularni mehanizam blastične preobrazbe.
Do tada postojeći blasti prestanu sazrijevati u konačne st. (neutrofile),
proliferiraju i skupljaju se. Faza akceleracije klinički se očituje porastom
slezene, brzim porastom broja Lkc, eozinofila i bazofila. Razvije se anemija.
Megakariociti postanu distrofični. Uz Ph kromosom pojavljuju se i druge
abnormalnosti kromosoma. Pojava drugih abnormalnosti kromosoma znak su
progresije bolesti u akutnu fazu. Manifestna blastična kriza (akutna leukemija),
bilo da je nastala izravno iz kronične faze ili preko faze ubrzanja, obilježena
je povišenom temperaturom, noćnim znojenjem, bolima u slezeni koja se
naglo povećava, bolima u kostima, rijetko hemoragičnom dijatezom, ponekad
simptomima hiperviskoznosti krvi. U nekim slučajevima povećaju se limfni
čvorovi.
3.2. LABORATORIJSKI NALAZI
Kronična mijeloična leukemija laboratorijski protječe kroz četiri faze:
proliferacijsku, kroničnu, fazu ubrzanja (akceleracije)
i fazu blastične promjene.
a) Proliferacijska faza
Broj leukocita je povećan uz prisutne nezrele st. granulocitnog reda.
Alkalična fosfataza u neutrofilima (NAP) je snižena (skoro <30).Ostali
su hematološki nalazi normalni.

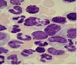
(Sl. 5 st. granulocitnog reda)
b) Kronična faza
Krvna slika: broj Ercmože biti normalan ili smanjen (smanjen je obično
uz broj Lkc >150x109/L). Broj leukocita je povišen (>10x109/L),
najčešće 100 do 300x109/L.
Broj trombocita može biti povišen, normalan malokad snižen.
Razmaz periferne krvi izglada kao da je koštana srž iscurila
u perifernu krv. Nalazi se mješavina nezrelih i zrelih granulocita. Obično
prevladavaju mijelociti i neutrofili, koji su često granulirani i imaju
pseudo-Pelgerovu morfologiju. U toj fazi može biti do 10% mijeloblasta.
Povišen je i apsolutni bro monocita, eozinofila i bazofila. Ponekad se
nađe pokoji eritroblast i dio megakariocitne jezgre.

(Sl.6 Razmaz periferne krvi)
Važan je nalaz smanjena alkalna fosfataza u neutrofilima.
Koštana srž je hipercelularna, prevladavaju stanice granulocitnog reda.
Omjer mijeloidnih i st. Eritrocita je u korist mijeloidnih st. i iznosi
10:1. Povišen je broj mitoza. Megakariociti su brojni i diplastični, s
malenom oskudnom citoplazmom i malim brojem režnjeva u jezgri.
U histološkom preparatu koštane srži vidljivi su hipercelularnost, odsutnost
masnih prostora i blago umnožen retikul.
Od koagulacijskih testova sniženi su vWF(von Willebrandov faktor)
i alfa2 –inhibitor plazmina.Rezultati su rutinskih biokemijskih pretraga
odraz povećana raspadanja leukemijskih st. Povišeni su mokraćna
kiselina, laktična degidrogenaza(LDH). Povišena je i koncentracija
kobalamina (vitamin B12).
Citogenetski nalaz: Za dijagnozu je važan nalaz Ph kromosoma
u leukemijskim stanicama. Ph kromosom je mali kromosom. Jedan od 22. para
kromosoma, koji nastaje razmjenom distalnih dijelova dugih krakova jednog
9. i jednog 22. kromosoma. Pri toj se razmjeni tzv. Abelsonov onkogen
(abl) s devetog kromosoma premjesti na 22,, a bcr regija s 22. kromosoma
premjesti na deveti kromosom. Na 22. kromosomu iz ostatka bcr regije i
pridošlog abl gena nastaje fuzijski gen bcr-abl. Taj 22. kromosom je Ph
kromosom (nazvan po gradu Philadelphiji u kojem je otkriven ). Pod utjecajem
bcr-abl gena proizvodi se fuzijska bjelančevina s jakom aktivnosti enzima
tirozin kinaze. Smatra se da Ph kromosom uzrokuje preobrazbu normalne
matične stanice u leukemijsku. (U Hiroshimi i Nagasakiju dokazan je u
ozračenih osoba 7 do 18 mjeseci prije hematološke ili kliničke manifestacije
bolesti.) Ph kromosom označava se kao t(9;22) (q34;q11). On je prisutan
u 90-95% bolesnika s KML

(Sl.7 nastanak Ph kromosoma)
Kada pod utjecajem liječenja dođe do remisije bolesti, normaliziraju
se histološki nalazi. Ph kromosom u velike većine bolesnika ostane prisutan
(osim nakon uspješne presadbe koštane srži).
c) Faza ubrzanja (akceleracije)
Nakon normalne krvne
slike u remisiji dolazi do naglog porasta broja leukocita uz porast
eozinofila i bazofila. Postotak blasta naraste na >10% u perifernoj
krvi i u koštanoj srži. Mogu se javiti Pelger-Huetova anomalija
u neutrofilima i eozinofilima i eritroblasti u perifernoj krvi. U koštanoj
srži povećava se broj eozinofilnih i bazofilnih prethodnih stanica. Postotak
blasta i promijelocita poveća se iznad 20%. Alkalična fosfataza u neutrofilima
poraste.
d) Faza blastične preobrazbe
Naglo se povećava broj leukocita uz znatan porast blasta. Broj eritrocita
i trombocita snižavaju se na vrlo niske vrijednosti.U koštanoj srži koja
je hipercelularna , znatan je postotak blasta. Blasti su u oko 60% slučajeva
mijeloični a u 25-35% limfoblastični.
Uz Ph kromosome, prisutne su i brojne druge abnormalnosti kromosoma.
3.3 DIJAGNOZA I DIFERENCIJALNA DIJAGNOZA
U praksi je najvažnije razlikovanje konične mijeloične
leukemije od mijeloidne leukemoidne reakcije i drugih
mijeloproliferativnih bolesti. U leukemoidnoj reakciji vrijednost
alkalne fosfataze(APL) je povišena, kariogram ne otkriva Ph1 kromosom,
a splenomegalije najčešće nema. U krvnoj slici nema eozinofilije bazofilije
ni trombocitoze. Razlikovanje od drugih kroničnih mijeloproliferativnih
bolesti može katkad stvarati poteškoće, pogotovo zato što se tijekom jedne
bolesti mogu pojavljivati karakteristike druge, a simptomi i znakovi mogu
se preklapati. Niska vrijednost alkalne fosfataze (APL) i citogenetski
nalaz (nalaz Ph1 kromosoma) obično će riješiti dvojbu.
3.4. TIJEK I PROGNOZA
U više od dvije trećine bolesnika konvencionalnom se terapijom postiže
dobra kontrola broja leukocita i drugih abnormalnosti i dobra kvaliteta
života u kroničnoj fazi bolesti. Dužina preživljavanja u bolesnika liječenih
konvencionalnom terapijom u većini serija iznosi 36 – 44 mjeseca. Nakon
razvoja blastične transformacije preživljavanje je tek nekoliko mjeseci.
Uzroci smrti najčešće su infekcije i krvarenja kao posljedica neutropenije
i trombocitopenije u transformaciji bolesti.
3.5. TERAPIJA
Ni jednim se citostatikom ne može, osim kratkotrajno, eliminirati Ph1
pozitivni klon. U terapiji kronične faze do sada se najčešće rabila hidroksiureja
(Litalir), inhibitor sinteze DNK.
Brzo smanjuje broj leukocita. Početna je doza obično 4-8 g dnevno, a zatim
se nastavlja dozom održavanja (0.5-2 g dnevno). Ima povoljan učinak i
u fazi ubrzanja bolesti. Vrlo učinkovit no sada se sve rijeđe upotrebljava
busulfan. Ima prolongirano djelovanje, ponajprije na matične st. pa se
učinak očituje tek nakon 2-3 tjedna liječenja. Započinje se dozom 4-8
g dnevno, anakon smanjenja broja leukocita na manje od 20 x 109/L, doza
se smanjuje i nastavlja se kontinuiranom terapijom održavanja ili se može
prekinuti te nastaviti opet intermitentnom primjenom nakon ponovnog porasta
broja leukocita.
Melfalan (Alkeran), klorambucil (Leukeran) i 6-merkaptopurin
(Purinethol) postižu sličan učinak kao i busulfan. Zbog mogućnosti
hiperurikemije pri citostatskoj terapiji preporučuje se primijeniti alopurinol
300 mg na dan uz više tekućine. Alfa-interferon (Roferon, Intron) u dozi
od 3 do 6 milijuna jedinica/m² tjelesne površine u oko tri četvrtine bolesnika
postiže normalizaciju nalaza, a kombinacija interferona s citozin-arabinozidom
pokazala se djelotvornijom od samog interferona. Bolesnici u kojih se
postigne ovaj učinak imaju dugo preživljavanje u kroničnoj fazi. U uznapredovalim
fazama bolesti nema učinka.
Leukofrazom se može smanijti broj leukocita. Taj se terapijski postupak
primjenjuje u bolesnika koji su zbog visokog broja leukocita i staze leukocita
u krvnim žilama ugroženi cerebrovaskularnim i plućnim komplikacijama.
Znatan napredak u liječenju KML-a odnedavno je primjena inhibitora tirozin
kinaze, lijeka koji specifično blokira enzimatsku aktivnost BCR-ABL fuzijskog
proteina, što je jedan od prvih primjera molekularno ciljane terapije.
Imatinib inhibira kinaznu aktivnost svih proteina koji sadrže ABL, ABL
srodne gene, receptor za faktor rasta porijeklom od trombocita. Ovaj lijek
inhibira stanični rast i inducira apaaptozu u KML. Imatinib se primjenjuje
u dozi od 400 mg na dan per os, a po potrebi, u slučaju nepotpunog terapijskog
odgovora, doza može povisiti sve do 800mg na dan.Učinak liječenja prati
se kontinuirano svakih 3 ili 6 mjeseci analizom kariograma (postotak Ph
pozitivnih metafaza) ili određvanjem BCR-ABL prijepisa.
U više od 95% bolesnika postiže se kompletan hematološki odgovor. Cilj
je liječenja međutim redukcija Ph pozitivnog klona. Znatan ili kompletan
citogenetski odgovor postiže se u 40-50% bolesnika u kojihje interferon
bio nedjelotvoran , a u preko 80% bolesnika ako je primjenjen kao prva
terapija. U dijela bolesnika postiže se znatna redukcija BCR-ABL prijepisa
ili potpuni nestanak BCR-ABL prijepisa. U malog dijela bolesnika liječenih
imatinibom u kroničnoj se fazi razvija rezistencija na lijek pa on postaje
nedjelotvoran. U uznapredovaloj fazi bolesti pojava rezistencije je češća.Imatinib
je također relativno učinkovit i u ubrzanoj fazi KML, ali u blastičnoj
fazi njegov je učinak vrlo kratkotrajan bez bitnog utjecaja na preživljenje.
Transplatacija alogene
koštane srži ostaje jedina metoda kojom se može
postići izlječenje bolesnika s kroničnom mijeloičnom leukemijom.
Eradikcija leukemije transplatacijom alogenih stanica ne ovisi samo o
primjeni visokih doza kemoterapije i zračenja
prije transplatacije, nego većim dijelom o reakciji transplatanata protiv
leukemije koji je posredovan alogenim limfocitima T u transplatantu. Na
tim se spoznajama temelji i uspješna primjena davateljevih limfocita kasnije
nakon transplantacije, u slučaju nedovoljnog učinka nakon transplantacije.
Dugotrajno je preživljavanje od 50-60% u bolesnika liječenih u kroničnoj
fazi, a samo 10-30% u onih u kojih je transplatacija učinjena u ubrzanoj
fazi bolesti ili u blastičnoj transformaciji. U bolesnika mlađih od 35
godina koji nemaju HLA podudarnog srodnika u obzir dolazi transplantacija
od nesrodnog HLA podudarnog davatelja.
Uvođenje imatiniba u liječenje KML-a u mnogome je utjecalo na promjenu
stava o liječenju kroničnih mijeloičnih leukemija transplantacijom alogene
koštane srži, posebno s obzirom na relativno visok rizik pri liječenju
transplantacijom. Pri odluci treba odvagnuti
predvidivu korist (moguće izlječenje) transplantacije u usporedbi s liječenjem
imatinibom koje je relativno netoksično i djelotvorno, no za sada nepoznatog
krajnjeg ishoda. Jedna od mogućnosti stratificiranja bolesnika prema poznatim
prognostičkim faktorima te liječenje transplantacijom za bolesnike s predvidivo
lošom prognozom. Alternativa tomu jest liječenje imatinibom svih novodijagnosticiranih
bolesnika, a zatim liječenje transplantacijom onih u kojih za 6 do 9 mjeseci
nije postignut kompletan ili približno kompletan citogenetski odgovor.
Prednosti i nedostatci dvaju temeljnih pristupa
početnoj terapiji KML-a
DLI- infuzija davateljevih limfocita
RICT- transplantacija s reduciranim intenzitetom kondicioniranja,
tzv. mini transplantacija
GVDH- reakcija transplatanata protiv primatelja
PROČITAJ
/ PREUZMI I DRUGE SEMINARSKE RADOVE IZ OBLASTI:
|
|
preuzmi
seminarski rad u wordu » » »
Besplatni
Seminarski Radovi
|