KRANIOCEREBRALNE POVREDE
1. Podela kraniocerebralnih povreda
Kraniocerebralne povrede podrazumevaju:
I. Prelom lobanje:
- konveksiteta, baze lobanje
- crtasti, impresivni.
|
II. Traumatsko ostecenje mozga:
- commotio cerebri
- contusio cerebri
- laceratio cerebri
- compressio cerebri (hematomi)
|
III. Kombinacija prva dva ostecenja |
Kraniocerebralne povrede se dele i na zatvorene i otvorene. Otvorena
povreda znaci prekid kontinuiteta poglavine, kosti i mozdanih opni, a
zatvorena sacuvanost ovih struktura.
1.1. Fractura cranii (prelom lobanje)
Impresivna
fraktura nastaje udarom tupog predmeta u lobanju koja miruje. Kosti lobanje
su elastične i na mestu udara dolazi do ulegnuća. Ako veličina ulegnuća
prevaziđe elasticna svojstva lobanje, dolazi do impresivne frakture. Ulegnuta
kost moze da osteti mozdane opne, krvne sudove i mozdano tkivo.
Linearne frakture mogu dovesti do cepanja mozdanica i krvnih sudova sa
pojavom rinolikvoreje, otolikovoreje, krvavljenja iz uva, nosa i do epiduralnog
hematoma kod preloma temporalne kosti i prekida a.meningicae mediae. Pri
dijagnostikovanju preloma lobanje treba obratiti paznju na impresiju kosti
koja se moze otkriti palpacijom, hematomom na glavi koji govore o prelomu
baze lobanje, meningealne znake (subarahnoidna hemoragija). Pazljiv rendgenski
pregled zahteva snimak lobanje u cetiri pravca.
1.2. Commotio cerebri (potres mozga)
Commotio cerebri predstavlja funkcioni poremecaj mozdanog stabla, jer
se linija sila pri udaru u lobanju seku kroz ove strukture. Otud i simptomi
odgovaraju poremećajima funkcija moždanog stabla:
- gubitak svesti uslovljen je disfunkcijom aktivirajuceg dela retikularne
formacije
- poremecaji disanja, pulsa, krvnog pritiska, vazomotorijuma, povracanje
uslovljeni su disfunkcijom vitalnih i vegetativnih centara mozdanog stabla
- amnezija nastaje zbog privremenog iskljucenja mozdanog stabla iz slozenog
sistema memorisanja
- prolazna paraliza ekstremiteta, gutanja, refleksa mozdanog stabla zbog
disfunkcije ostalih struktura mozdanog stabla (piramidni put, jedra mozdanih
zivaca). Ovi simptomi su kratkotrajni i po pravilu se ne registruju pri
pregledu.
Do komocije moze dovesti i nagli trzaj glave („udar biča“) pri saobracajnim
nesrecama. Ovde je reč o istezanju kraniocervikalnog medularnog dela koji
udara o dens epistrofei.
Pad na sedalni predeo takodje moze da ti komociju mozga, jer se udarac
prenosi preko kičmenog stuba.
Pri pregledu ovih bolesnika treba obratit paznju na anterogradnu amneziju
(nemogucnost upamciavanja dogadjaja koji su se odigrali po vracanju svesti),
amneziju za vreme nesvesti i retrogradnu amneziju (nesećanje perioda pre
traume). Za procenu tezine kraniocerebralne povrede najznačajnija je anterogradna
amnezija. Njeno trajanje do jednog sata govori o komociji, dok duze trajanje
govori o tezem organskom ostecenju mozga. Osim toga, bolesnik moze imati
muku, povracanje, kolebanje krvnog pritiska, pulsa i temperature, poremecaj
disanja, drhtanje, vrtoglavicu, glavobolju, osecaj hladnoce ili toplote,
slabosti, nelagodnosti, apatije.
1.3. Contusio cerebri (nagnječenje mozga)
Nastaje na dva načina:
-
Udarom predmeta u lobanju koja miruje; udar izaziva ulegnuće
kosti, a ispravljanje ulegnuća daje negativni pritisak na mestu udara
i tu se formira kontuziono žarište
- Udarom pokretne lobanje o čvrstu podlogu (pad). Pošto lobanja
„odskoči“,tj. krene u suprotnom pravcu, dok mozak jos uvek ide u pravcu
podloge, na mestu udara nastaje pozitivni pritisak, a na suprotnom negativan.
Na mestu udara, tj. pozitivnog pritiska kontuziono žarište je manje, a
na mestu negativnog znatno vece (efekat kontr ku – contre coup)
Najčešće je istovremeno reč o komociji i kontuziji mozga. Gubitak svesti
obicno je dugotrajniji, ali ima slucajeva kontuzije mozga bez komocije,
npr. pri udaru elasticnim stapom o lobanju. Za dijagnozu kontuzije mozga
neophodan je nalaz kontuzionog žarišta ili klinicki znaci difuznog mozdanog
ostecenja takodje su dokaz kontuzije mozga.
Komplikacije su subarahnoidna hemoragija, subduralna i ekstraduralna hemoragija
i intracerebralna hemoragija. Neposredne komplikacije mogu biti i infekcija
mozdanica i mozga kod preloma, kao i epilepticni napadi zbog iritacije
mozga. Veoma znacajna odlozena komplikacija je posttraumatski vazospazam
slican vazospazmu koji se javlja posle subrahnoidne hemoragije zbog rupture
aneurizme samo sto se ovde javlja nesto ranije i traje krace. Krvavljenje
u likvoru i ovde ima patogenetsku ulogu. Zahvacene su velike arterije
na bazi mozga – a.carotis interna, a. cerebri media, a.basilaris. Vazospazam
moze biti znacajan faktor ishoda kod teskih povreda glave.
1.4. Compresio cerebri
Epiduralni
hematom nastaje kod rascepa a. meningicae mediae. Hematom naglo raste,
zauzima intrakranijalni prostor i kompromituje mozdano tkivo.
Za ovu komplikaciju govore sledeci nalazi:
- Prelom skvame temporalne kosti
- Ponovni gubitak svesti posto se traumatizovani oporavio od komocije;
zato je veoma vazno nadgledanje narocito nocu je se moze desiti da se
povredjeni osvesti, a preko noci dospe u duboku komu.
- Hačinsonova zenica na strani preloma. To je široka zenica koja ne reaguje
na svetlost
Subduralni hemtaom nastaje zbog izlivanja krvi u prostoru izmedju dure
i arahnoideje. To je vensko, sporo krvavljenje.
Akutni subduralni hematoma. Moze biti unilateralni ili bilateralni i često
je praćen i drugim traumatskim oštećenjem mozga – kontuzijom i laceracijom.
Bolesnika je komatozan. Ako je lokalizovan u zadnjoj lobanjskoj jami bice
pracen povracanjem, glavoboljom, ostecenjem kranijalnih zivaca i ataksijom.
Lecenje je hirurško, a prognoza zavisi od ostalih oštećenja (kontuzije,
laceracija).
Hronični subduralni hematom se inkapsulira i dalje raste zbog prelaska
likvora kroz kapsulu u hematom – mesto sa većim osmotskim pritiskom. Hematom
raste nedeljama i mesecima delujući kao tumor – komprimuje mozdano tkivo
i daje odgovarajuce simptome i znake.
Moze se manifestovati:
- glavoboljom
- pospanost
- konfuznošću
- inkoherentnim mišljenjem
- bradipsihijom
- apatijom
- epileptičnim napadima tako da asocira na moždani tumor ili demenciju
vaskularne ili druge etiologije.
Na strani hematoma moze se naci Hačinsonova zenica. Fokalni znaci obično
nisu izraženi. Hemipareza se moze razviti na suprotnoj strani, ali nekad
i na strani hematoma zbog hernijacije temporalnog reznja i pritiska pedunkula
na suportnu ivicu tentorijuma.
Trauma moze biti mala, čak zaboravljena. To može biti lak udarac glavom
o gredu ili granu drveta, pri naglom zaustavljanju automobila ili gubitak
svesti. Ova komplikacija je česta kod alkoholičara zbog fragilnosti krvnih
sudova i čestih trauma u alkoholisanom stanju. U riziku su i osobe sa
hemoragičnom dijatezom.
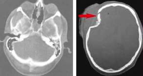
Dijagnoza se postavlja CT-om

Slika: CT snimak mozga – strelica pokazuje subduralni hematom
(ugrušak ispod tvrde ovojnice mozga – dura mater)
Treba imati u vidu da je izmedju 2 i 6 nedelje hematom izodenzan sa
susednim mozdanim tkivom i pokazuje samo pomeranje bočne komore. U kasnijoj
fazi hematom je hipodenzan na CT snimku. NMR je koristan kod subakutnih
hematoma.
Korisni su i nalazi pomeranja klacifikovanih struktura ili preloma lobanje
na nativnom kraniogramu. EEG može biti niže voltiran na suprotnoj strani.
Likvor može biti ksantohroman.
Evolucija ne mora uvek ići ka porastu hematoma i komi. Neki hematomi ne
rastu već se spontano resorbuju i ne javljaju se potrebe za hirurškim
intervencijom.
U komplikacije treba ubrojati i posttraumatski delirijum. Često za ovakve
bolesnike dobijamo podatke o alkoholizmu pre traume mozga
2. Posledice kraniocerebralnih povreda
Blaže posledice predstavljaju:
- cephalea posttraumatica
- neurosis posttraumatica; često je neuroza samo deklamširina ili potencirana.
- subjektivni posttraumatski sindrom; smetnje su slične neurotičnim; pažljivim
pregledom se neka otkrivaju blagi žarišni znaci, otološkim ispitivanjem
– oštecenja akustikovestikovestibularnog aparata, a odgovarajućim psiholoskim
testovima – znaci organske lezije mozga i tada se ne moze vise govoriti
o „subjektivnom sindromu“.
Teže posledice su:
- posttraumatska demencija
- posttraumatska epilepsija
- korzakovljev sindrom
- karakterne promene
3. Traumatska oštećenja kičmen moždine
Komocija kičmene moždine, analogno komociji mozga praćena je funkcionalnim
poremećajima motorike, senzibiliteta i kontrole sfinktera.
Kontuzija kičmene moždine znaci postojanje kontuzionog žarišta, obicno
sa hemoragijom, najčešće zbog frakture i dislokacije kicmenih prsljenova.
Gubitak funkcije ispod mesta kompresije obično je potpun. U svim ovim
slucajevima mora se obezbediti imobilizacija, pražnjenje mokraćne bešike
i debelog creva i sprecavanje sekundarne infekcije. Neurohirurška i ortopedska
intervencija su neophodne u slučajevima kontuzije i kompresije sa frakturam
kičmenih pršljenova. Posle toga se moraju sprovoditi energične mere s
ciljem sprečavanja dekubitusa (toaleta kože, masaže alkoholom, posipanje
talkom, česte promene položaja) i kontraktura (pasivni pokreti i korekicja
položaja) u paraplegičnih bolesnika. Posle akutne faze primenjuju se fizikalne
procedure i rehabilitacione mere kako bi se bolesnik što bolje osposobio
i nadoknadio izgubljene funkcije.
3.1. Syringomyelia i syringobulbia
Siringomijelija
predstavlja izduzenu supljinu ogranicenu glijom, blizu centralnog kanala.
Naziva potiče od reči syrinx – šupljina i myelos – moždina.
Obično je smeštena u dodjem cervikalnom i gornjem torakalnom regionu.
Nekad se proteže u produzenu mozdinu (syringobulbia). Najčešće je po sredi
kongenitalna abnormalnost mada je nekad šupljina posledica nekroze tumora.
Može biti deo složenijeg sindorma kongenitalne prirode kao što je Arnold
Kjarijeva (Arnold Chiari) malformacija. Ovaj sindorm i ostale siringomijelije
udružene sa opstrukcijom foramen occipitale magnum spadaju u tip I siringomijelije.
Idiopatska siringomijelija bez opstrukcije foramen occipitale magnum,
predstavlja tip II siringomijelije. Siringomijelija tipa III udruzena
je sa tumorom, traumatskim arahoiditisom ili pahimeringitisom. Tip IV
predstavlja hidromijeliju koja moze biti udruzena sa hidrocefalusom. Hidromijelija
je prosirenje samog centralnog kanala.
Siringomijelicna šupljina je ispunjena tečnošću i vrši pritisak na ćelije
prednjih rogova kičmene moždine, piramidne puteve i ascendentne, senzitivne
puteve dovodeci do njihove degeneracije. Razvoj šupljine dovodi do destrukcije
centralne sive mase kičmene moždine i prekida vlakna spinolamičnog puta
koji kroz nju prolaze na putu za suportnu stranu u odgovarajucim segmentima
kičmene moždine
Klinička slika je rezultat navedenih lezija: oštecenje osetljivosti za
bol i termičke senzacije uz očuvanost senzibiliteta za dodir u odgovarajucim
dermatomima (siringomijelicna disocijacija senzibiliteta). najčešće na
rukama, simptomatologija ostecenja perifernih motornih neurona u odgovarajucim
miotomima (hipotrofija malih misica šaka), znaci oštešćenja, kortikospinalnih
puteva na nogama, trofičke promene na koži, potkožnom tkivu i kostima
ruku.
U nešto više od jedne trećine slučajeva javaljaju se disestezije u vidu
palećeg bola. Bolne disestezije se javljaju u dermatomima koji odgovaraju
segmentima u kojima sirinks zahvata dorzolateralni kvadrant kičmene moždine
sa iste strane. U više od polovine slucajeva hirurska intervencija koja
dovodi do kolapsa sirinksa daje olaksanje bolova.
Propagacija šupljina ka produzenoj mozdini ostecuje senzitivna jedra trigeminusa
i siringomijelicne disocijacije senzibiliteta na licu.
Dijagnoza – Osim na kliničkoj slici, dijagnoza siringomijelije se zasniva
na savremenim metodama slikanja nervnog tkiva. CT može biti od pomoci,
ali je snimanje NMR-om metoda izbora, jer može da predstavi uzdužni presek
kičmene moždine i moždanog stabla. U odstustvu ovih metoda, nalaz artropije
na cervikalnoj kičmi, na nativnom rendgenskom snimku, može da ide u prilog
dijagnoze siringomijelije. Mijelografija se danas ređe koristi; ona prikazuje
deformitet ili blok kontrasta.
Lečenje ove bolesti ne dovodi do značajnijeg uspeha. Hirurška intervencija
se može sastojati iz obične incizije šupljine – siringotomije ili siringostomije
sa uspostavljanjem drenaže, ili subokcipitalne dekompresije kod Arnold
– Kjari – jeve malformacije. Iskusni neurohirurzi, kao prvu meru kod ove
anomalije preporucuju dekompresiju foramena magnuma, a kao dodatnu – siringostomiju.
U oko dve trećine slučajeva rezultata operacije je zadovoljavajući. Bolesnici
sa teškim neurološkim ispadima ili nepokretnim i sa stacionarnim stanjem
nisu kandidati za operaciju. Kod hidromijelije sa udruženim hidrocefalusom
preporučuje se ventrikuloperitonealni šaht.
Bolesnicima se mora ukazati na mogućnost neopaženih povreda analgetičnih
delova ruku. Takođe ih treba posavetovati da izbegavaju nagle i snažne
pokrete, jer to povećava mogućnost nastanka artropatija.
U odmaklom stadijumu u bolesnika sa spastičnom paraparezom ili paraplegijom
primenjuju se miotonolitici i vodi se briga o funkicionisanju sfinktera
odnosno o redovnom pražnjenju bešika i creva kako je to opisano u poglavlju
o terapiji multiple skleroze.
3.2. Hematomyelia
Hematomijelija znači krvavljenje u tkivu kičmene moždine, najčešće u cervikalnom
regionu. Uzrok krvavljenja obično su male kongenitalne abnormalnosti krvnih
sudova ili angiomi. Kao uzroci navode se i promene krvnih sudova izazvane
arteriosklerozom ili zapaljenjem. Trauma takođe može dovesti do hematomijelije.
Hematom prvo razara centralnu sivu masu dovodeći do siringomijelične disocijacije
senzibiliteta, zatim vrši kompresiju okolnih struktura dovodeći do sindroma
intramedularne lezije sve do potpunog funkcionalnog prekida kičmene moždine.
Lečenje ove bolesti je kompleksno. Pre svega bolesniku treba obezbediti
mir. Hirurška intervencija može biti indikovana ukoliko je posredi hemangiom.
Potpuni blok može biti uzrokovan edemom okolnog tkiva kičmene moždine
i tada je indikovana antiedematozna terapija. Akutrna paraplegija zahteva
intezivnu negu koja obuhvata brižljivu toaletu kože, naročito na mestima
najvećeg pritiska o postelju, povremenu promenu polozaja, briga oko redovnog
pražnjenja bešike i creva i toalete mokraćne bešike.
4. PROGNOZA I ISHOD KRANIOCEREBRALNIH POVREDA
Preciznu prognozu, osim kod veoma teških i veoma lakih povreda, nije moguce
dati, pogotovo ne u samom pocetku.
Ošteceno nervno tkivo se oporavlja tako što se u njemu: smanjuje otok;
poboljšava cirkulacija; smanjuje se pritisak na njega povlacenjem (resorspcijom)
izlivene krvi; poboljšava se metabolizam nervnih celija; neki delovi mozga
preuzimaju funkciju oštecenih (plasticitet); ponovo se uspostavljaju veze
medju nervnim celijama; javljaju se i neke forme regeneracije. Lecenje
se sastoji u tome da se obezbede nervnom tkivu optimalni uslovi za oporavak
(smanjujemo otok, poboljšavamo cirkulaciju, uklanjamo ono što vrši pritisak
na mozak, održavamo sastav krvi optimalnim, sprecavamo i lecimo brojne
komplikacije do kojih dolazi kod ovih pacijenata...). Još uvek nema leka
koji bi omogucio regeneraciju nervnog tkiva ili znacajnije na nju uticao.
Loši prognosticki faktori su: starost; lošija cirkulacija krvi kroz mozak;
šecerna bolest; komatozno stanje, pogotovo ako je postojalo od pocetka;
znaci veceg oštecenja mozga i moždanog stabla (klinicki ili na CT snimku);...
Ukoliko je pacijent dublje komatozan prognoza je najteža. Oporavak se
tada odvija po nivoima. Prognoza je sve bolja što je pacijent prešao na
višlje nivoe. Ovi nivoi oporavka pokazuju oporavak moždanog stabla. To
su: pocetak samostalnog disanja, dovoljno iskašljavanja šlajma; veci samostalni
pokreti pacijenta u postelji; pocetak gutanja. Nakon ovoga oporavak ide
brže i zavisi od mesta i velicine oštecenja mozga.
Oporavak može trajati 2 godine ili duže. Obicno 75% onoga što ce se
oporaviti se oporavi u prvih 6 meseci. Zbog ovoga je važno, pored ostalog,
rano zapoceti sa fizikalnom terapijom. Ukoliko, nakon hirurškog lecenja,
zaostaje slabost ekstremiteta indikovan je nastavak fizikalne terapije
u specijalizivanim bolnicama ili banjskim lecilištima.
Postoje 4 stadijuma krajnjeg ishoda preživelih:
I. Dobar oporavak bez znacajnijih posledica
II. Umerena nesposbnost ukoliko zaostanu manji neurološki ili psihicki
deficiti
III. Teška nesposobnost
IV. Vegetativo stanje- pacijent otvara oci i ima neke spontane pokrete,
ali ne uspostavlja nikakvu komunikaciju sa okolinom.
Posledice koje su prisutne i posle godinu dana od povrede mogu se, u
sudskomedicinskom smislu, smatrati trajnim. One mogu biti u vecem ili
manjem stepenu:
• Psihološko-psihijatrijske koje se manifestuju kao poremecaji: mišljenja,
opažanja, koncentracije, ucenja i pamcenja, poremecaji u emocionalnoj
sferi i kao izmena u ponašanju (organski psihosindrom),
• Neurološke posledice podrazumevaju ispade u funkciji pojedinih delova
mozga ili nerava. Njihov broj je velik i mogu se javiti u raznim kombinacijama.
Najceci su slabost jedne polovine tela (hemipareza), slabost mišica lica,
ispadi vidnog polja, ...
• Hormonski poremecaji.
• Naruženost cine zaostali ožiljci ili defekti kostiju lobanje, kao i
poremecaji pokreta i hoda.
Literatura
Levic Z. Osnovi savremene neurologije. Zavod za udzbenike I nastavna
sredtva, Beograd 2005.
http://www.neurohirurgija.in.rs/povrede_mozga.htm
PROČITAJ
/ PREUZMI I DRUGE SEMINARSKE RADOVE IZ OBLASTI:
|
|
preuzmi
seminarski rad u wordu » » »
Besplatni
Seminarski Radovi
|