Karcinom (rak) pluća
Karcinom
pluća čine oko 22% svih karcinoma kod muškaraca i najčešće se javljaju
između 45 i 70 godine života. Karcinomi su na drugom mestu po učestalosti
i predstavljaju najčešći uzrok smrti zbog malignih bolesti. Smatra se,
da u svetu od ove bolesti, godišnje oboli više od 2. miliona, a u Srbiji,
oko 3500-4000 godišnje.
Glavni uzrok pojave karcinoma pluća je pušenje. Učestalost raste s brojem
popušenih cigareta, a smanjuje se prestankom pušenja.
1. Kracinom pluća
Maligne tumorske procese na plućima nazivamo karcinomima. Oni nastaju
nekontrolisanim umnožavanjem malignih ćelija u plućima, ali se i tumori
drugih organa, mogu proširiti u pluća. Tada govorimo o metastatskom tumorskom
procesu.
Karcinom pluća može nastati u različitim delovima pluća. Odakle se širi
prilično predvidljivim šablonom. Obično, ako se kancer pluća proširi prvo
ide na obližnje limfne čvorove zatim i na one udaljenije izmedju pluća
deo koj nazivamo medijastinum. U medijastinumu, karcinom pluća teži da
prvo ostane na strani na kojoj je tumor nastao. Nakon prelaska srednje
linije medijastinuma razvija se u naprednu neoperabilnu bolest.
Postoje 2 osnovne grupe karcinoma pluća:
1. Mikrocelularni (sitnoćelijski, SCLC) karcinom
pluća se javlja u 20% slučajeva i ima tendeciju ranog širenja
putem krvi, najćešče u mozak, jetru, kosti, nadbubrežne žlezde, pušenje
je skoro uvek glavni faktor nastanka mikrocelularnog karcinoma.

2. Nemikrocelularni (nesitnoćelijski, NSCLC) karcinom
pluća je ćešća histološka forma i javlja se u 80% slučajeva

. Postoji više tipova nemikrocelularnog karcinoma:
- Skvamozni karcinom (epidermoidni karcinom)
- Adenokarcinom – ovakva vrsta kancera se javlja u plućnim žlezdama
koje proizvode mukus
- Bronhioalveoarni karcinom – je redak pod tip adenokarcinoma.
Formira se blizu plućnih vazdušnih kesa
- Krupnoćelijski karcinom – formira se blizu povšine ili spoljašnjih
ivica pluća
Najcesce forme karcinoma su adenokarcinomi i skvamozni
karcinom. Najređe se patohistološki verifikuje krupnoćelijski karcinom.
Ostale forme karcinoma pluća su retke. Karcinoid tumori su prelazne forme
i javljaju se u manje od 5% slučajeva. Ostale forme kao što su adenoid
cistikum, sarkomi, limfomi hemartomi su retki i tretman im je drugaciji
od tipičnih histoloških formi. Oni se međusobno razlikuju po simptomima,
širenju, načinu lečenja i stopi smrtnosti.
Stadijumom kancera meri se koliko se kancer proširio u telu. Uključuje
razvoj i veličinu kancera kao i prodor u okolna tkiva i postojanje ili
odsustva metastaze u limfnim čvorovima i drugim organima. Izgledi dobre
prognoze zavise od veličine tumora zahvačenosti okolnih struktura i limfnih
čvorova ali takođe i opste kondicije pacijenta, gubitka telesne težine,
godina i internistickih pridruzenih bolesti, funkcije pluća.
U ranom stadijumu bolesti veličina tumora i zahvaćenost linfnih čvorova
su veoma važni faktori prognoze. 5-godišnje preživljavanje u I stadijumu
od 60-80%, u II od 40-50%, u III od 20-30% u IV manje od 2%.
I. Stadijum – ćelije kancera se nalaze samo na zahvaćenoj
strani pluća
II i III. stadijum – ćelije raka su ograničene na pluća,
ali sa sve većim i invazivnijim tumorima
IV. stadijum – ćelije kancera se šire i zahvataju tkiva
i telesne organe van pluća
2. Faktori rizika
Pušenje je u najvećem broju slučajeva glavni i najpoznatiji faktor rizika
u nastajanju raka pluća. Rizik od nastanka bolesti se povećava sa brojem
popušenih cigareta i dužinom pušačkog staža, naročito ako čovek počne
da puši kao mlad.
I pasivno pušenje se smatra uzročnikom u oko 25% slučajeva nemikrocelularnog
karcinoma pluća kod nepušača. Osim toga, uočeno je da partneri pušača,
imaju 20% više šansi da razviju karcinom pluća.
Uzrok tumora mogu biti i neke supstancije s kojima se ljudi učestalije
susreću u nekim industrijskim granama (industrija urana, hroma, nikla,
azbesta)
Od ostalih faktora rizika treba pomenuti genetsku predispoziciju, izloženost
azbestu, gasu radonu, zageđenom vazduhu, hronične obstruktivne bolesti
pluća, tuberkulozni bolesnici.
3. Znaci i simptomi
Simptomi tumora zavise od njegove lokalizacije. Najučestaliji simptomi
su:
- suv kašalj koji dugo traje
- osećaj nedostatka vazduha
- otežano disanje
- bol u grudnom košu
- iskašljavanje krvi ili sukrvice
- zviždanje u grudima
- zapaljenje pluća ili bronihitisi, koji duže traju ili se ponavljaju
sa iste strane
- promuklost koja traje više nedelja
- neobjašnjiv umor
- gubitak apetita i telesne težine
- bol u ramenu i ruci sa slabošću ruke
- oticanje glave i vrata
Ovi simptomi se mogu javiti i kod drugih, bezazlenijih oboljenja, ali
svakako zahtevaju odlazak kod lekara. Najučestaliji je kašalj, naročito
kod karcinoma bronha, zbog stalnog podražaja. Iskašljani sadržaj je obično
oskudan, ali može biti i sa tragovima krvi. Ako je krvarenje izraženije,
to ukazuje na zahvaćenost većih krvnih sudova.
Ako se tumorozni proces proširi na pleuru, javiće se bol, a u slučaju
suženja bronha, nastaće simptomi slični znacima obstruktivne bolesti pluća.
U slučaju pojave atelektaza (smanjenje ili nedostatak vazduha u plućima),
kada delovi pluća kolabiraju i više ne sudeluju u disanju, može doći do
pomaka medijastinalnih organa u stranu.
Česta je i pojava pleuralnih izliva koji otežava disanje, a u slučaju
tumora koji zahvataju periferiju pluća, tumorski proces može dugo biti
bez simptoma.
Zavisno od lokalizacije, karcinom pluća može dovesti do pojave: Pancostov-og,
Hornerovog i sindroma gornje šuplje vene.
Pancostov sindrom se manifestuje:
- bolom u ramenu sa širenjem u ruku
- destrukcijom rebara, ponekad i torakalnih pršljenova
Hornerov sindrom zbog pritiska na simpatikus, manifestuje:
- ptozom
- miozom
- enoftalamusom
Karcinom pluća može metastazirati ne samo u torakalne organe, nego dati
udaljenje metastaze, van grudnog koša, najčešće u:
- centralni nervni sistem
- nadbubrežnu žlezdu
- limfne žlezde
- koštanu srž
- kosti
- jetru
Zbog metastaza u mozgu, može se javiti:
- hemiplegija
- epilepsija
- promene ličnosti
Kod metastaza u kostima:
- dominira bol
- spontani prelomi
Zbog metastaziranja u koštanu srž, može se javiti:
- citopenija
- nezrele krvne ćelije
Metastaza u nadbubrežnim žlezdama:
- opšta slabost
- hipotenzija
- pigmentacije po koži
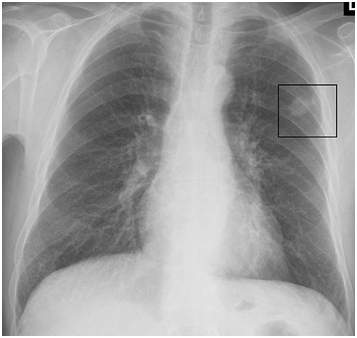
Oko 10% ljudi sa karcinomom pluća nemaju simptome pri dijagnostici, ovakvi
kanceri se slučajno otkrivaju pri rutinskim radiografskom pregledu grudnog
koša.
4. Dijagnoza
Dijagnoza raka pluća postavlja se na osnovu rezultata dijagnostičkih
procedura:
Radiografija pluća - Ovo je jednostavan i brz test koji
može da pokaže lokalizaciju, veličinu i poziciju tumora. Ponekad je ovo
nedovoljan pregled jer cesto ne dobijamo dovoljno informacija o tumoru
a ne tako retko možemo dobiti normalan nalaz koji ukoliko su prisutni
simptomi zahteva dodatne dijagnostičke postupke.

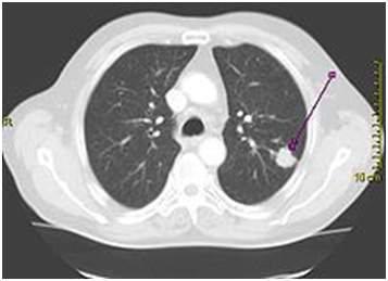
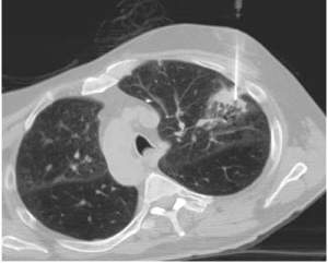
Kompjuterizovana tomografija CT - Može nam dati podatke
o poziciji tumora, veličini, invaziji torakalnog zida, zahvaćenosti medijastinalnih
limfnih čvorova. Magnentna rezonanca se preporučuje samo u pojedinim slučajevima
npr. evaluacija Tumora vrha pluća.

Pozitron emisiona tomografija PET - Zasnovana na primeni
radioobeliživača fluoro 2 - deoxyglukoze i u kombinaciji sa CT-om daje
podatke posebno o zahvaćenosti medijastinalnih limfnih čvorova. Metoda
je visoko senzitivna ali ne i specifična pa se u dijagnostici ukoliko
je pozitivan nalaz na PET-u zahteva patohistoloska provera posebno ako
se planira hirursko lečenje. Metoda se preporućuje u praćenju terapijskog
odgovora gde može dati veoma korisne informacije.

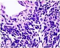
Bronhoskopija -je metoda kojom se potvrđuje dijagnoza.
Izvodi se u lokalnoj ili opštoj anesteziji uvođenjem endoskopskog tubusa
kroz nos ili usta i uzimanjem uzorka sa sumnjivog mesta - biopsija tumora
koji je neophodno patohistološki verifikovati.

FNA (fine needle aspiration) - Uzimanje uzorka tumora
iglom kroz torakalni zid u lokalnoj anesteziji i pod kontrolom kompjuterizovana
tomografija CT. Ovakva metoda je manje invazivna u odnosu na otvorenu
biopsiju, kad je potrebno napraviti rez na koži da bi uzeli uzorak.

Medijastinoskopija - je metoda koja se radi u opstoj
anesteziji i kojom se dobijaju precizniji podaci o zahvaćenosti limfnih
čvorova medijastinuma. koja je posebno značajna ukoliko se planira operativno
lečenje.

VATS (videoasistirana torakoskopija) - takođe je hirurška
metoda, koja podrazumeva pravljenje malog reza na koži zida grudnog koša
i ubacivanje optičkog instrumenta u unutrašnjost grudnog koša da bi se
direktno videla pluća sa plućnom maramicom i da bi se sa sumnjivih mesta
uzeli odgovarajući uzorci.

Scintigrafija kostiju - je radioizotopska dijagnostička
metoda koja pokazuje bilo kakva abnormalna područja kostiju. Radi se uvek
kada postoji klinička sumnja na koštane metastaze.

Scinografija osobe obolele od karcinoma pluća nemikroćelijskog tipa
– nema znakova koštane metastaze
5. Lečenje
Lečenje raka pluća zavisi od njegove:
- vrste (tipa tumora)
- veličine i lokalizacije
- stepena proširenosti (da li se proširio izvan pluća)
- opšteg zdravstvenog stanja bolesnika i pridruženih bolesti (srčane
bolesti, bubrežne bolesti, šećerna bolest, bronhitis, bronhijalna astma
itd.)
Rak pluća leči se:
- hirurški (operacijom)
- radio-terapijom (zračenjem)
- hemioterapijom (citostaticima)
Te metode moguće je sprovoditi izolovano ili zajedno, a hirurško lečenje
ponekad se može kombinovati sa zračnom terapijom ili hemioterapijom.
Hirurško lečenje raka pluća (operacija)
Hirurško lečenje raka pluća (operacija) primenjuje se kada se bolest
nije proširila izvan tog organa i može se tako ukloniti iz organizma,
a preostali deo pluća pacijentu omogućiti normalan život. Brzina oporavka
nakon operacije je individualna: neke osobe brže se oporave, druge sporije.
Najčešće je potrebno nekoliko nedelja da bi se bolesnik potpuno oporavio
od operacije raka pluća. Svaka veća operacija, bez obzira na to koliko
je uspela i neophodna, praćena je u postoperativnom toku odgovarajućim
teškoćama i problemima.
Iz rane izlaze drenovi koji se obično uklanjaju dva do sedam dana posle
operacije. Intravenska infuzija daje se nekoliko dana da bi se održala
ravnoteža tečnosti u organizmu, dok pacijent nije sposoban da ponovo normalno
jede i pije. Redovnim rendgenskim snimanjima prati se i kontroliše da
li pluća funkcionišu kako treba. Prisustvo bola i nelagodnosti normalna
je pojava, može trajati i nekoliko nedelja posle operacije. Pacijent se
obično otpušta kući sedam do 14 dana nakon operacije, zavisno od njegovog
stanja.

Radio-terapija (terapija zračenjem)
Terapijom zračenja uništavaju se ćelije
raka, dok u isto vreme nanose neznatnu štetu normalnim ćelijama. Broj
tretmana i trajanje terapije zavise od vrste i veličine tumora i određuje
ih radio-terapeut. Zračna terapija primenjuje se kada se zbog odmaklog
stadijuma bolesti ne može pristupiti operativnom lečenju ili u slučajevima
kada se radi o tumorskom zahvatanju dušnika i velikih disajnih puteva.
Ponekad se zračna terapija primenjuje i nakon operacije, ali samo kada
su tumorom zahvaćene limfne žlezde medijastinuma.

Postoje dve vrste zračne terapije:
- Spoljašnje (transkutano) zračenje
- Unutrašnje zračenje (brahiterapija)
Spoljašnje (transkutano) zračenje podrazumeva njegovo
usmeravanje iz spoljašnje sredine u pluća
Pre početka zračenja na koži se nacrtaju oznake, a one radiološkom tehničaru
koji sprovodi zračnu terapiju omogućuju da tačno usmeri zrake na određeno
mesto. Oznake moraju ostati vidljive tokom ukupnog tretmana. Ponekad se
na koži ostavljaju trajne male oznake koje će u daljim tretmanima biti
od pomoći radio-terapeutu. Na početku zračne terapije pacijentu se daju
tačna uputstva kako da vodi računa o koži predela koji se zrači. Naime,
ona na tim mestima postaje crvena, suva, osetljiva, sa prisutnim svrabom,
duže nakon zračenja ima mrku pigmentaciju.
Tretman traje svega nekoliko minuta. Zračna terapija nije bolna, ali pacijent
za to vreme mora ostati potpuno miran.
Tokom spoljašnje zračne terapije pacijent ne postaje radioaktivan, stoga
je tada potpuno bezbedno biti sa drugim osobama i sa decom.
Unutrašnje zračenje (brahiterapija) primenjuje se ako
tumor začepi jedan od velikih disajnih puteva i tako uzrokuje bezvazdušnost
(atelektazu) pluća. Unutrašnje zračenje je jednostavan način otvaranja
disajnog puta. Sonda u vidu tanke cevčice, na koju se kasnije priključuje
izvor zračenja, privremeno se postavlja na određeno mesto u disajnim putevima
pomoću bronhoskopa. Uklanja se odmah posle tretmana. Obično je potreban
tretman ili dva u razmaku od jedne sedmice. Nakon unutrašnjeg zračenja
pacijent je blago radioaktivan nekoliko dana pa se neke mere predostrožnosti
moraju preduzeti.
Najčešći neželjeni efekti zračne terapije jesu:
• mučnina i povraćanje (mogu se ublažiti lekovima koji se nazivaju
antiemetici);
• bolovi u grudnom košu;
• gubitak apetita (obroci se mogu zameniti visokokaloričnim napicima);
• otežano ili bolno gutanje (traje nekoliko dana, a nastaje kao posledica
ozračenosti jednjaka pa u takvim slučajevima obično pomaže uzimanje hladnog
mleka ili jogurta);
• zamor i malaksalost (treba se odmarati što više);
• simptomi kao kod gripa.
Te nuspojave mogu biti blage, ali i veoma izražene, što zavisi od doze
zračenja koja se prima i od dužine terapije.
Hemioterapija (citostatska terapija)
Hemioterapija predstavlja upotrebu antikancerskih (citotoksičnih) lekova
u cilju uništenja ćelija raka. Traje nekoliko dana, a zatim sledi period
odmora od nekoliko nedelja da bi se organizmu omogućio oporavak.
Broj ciklusa hemioterapije što se prima zavisi od vrste raka od koje pacijent
boluje i od reakcije na lečenje. Hemioterapija može se dati u ambulantnim
uslovima (dnevna bolnica), ali ponekad zahteva i boravak pacijenta u bolnici
nekoliko dana.
Hemioterapija može uzrokovati neprijatne neželjene efekte. Kod većine
bolesnika oni su blagi i mogu se dobro kontrolisati lekovima koji ubijaju
ćelije raka, ali istovremeno deluju i na zdrave ćelije u organizmu.
Neželjeni efekti (nuspojave) hemioterapije jesu:
• leukopenija (smanjenje broja belih krvnih zrnaca)
• anemija (malokrvnost)
• mučnina i povraćanje
• gubitak kose
• gubitak apetita osetljivost usne duplje, ulceracije i krvarenja,
• podložnost infekcijama
• zamor i malaksalost
Laserska terapija i stentovi
Ponekad rak pluća stvara osećaj otežanog disanja i gušenja, najčešće
zbog začepljenja dušnika (traheje) i velikih disajnih puteva tumorskim
rastom. Ukoliko se tumor može ukloniti, to se najčešće sprovodi laserskom
terapijom, njegovim spaljivanjem i uklanjanjem.
Laserska terapija ne odstranjuje tumor u potpunosti, ali eliminiše simptome
kao što su otežano disanje i gušenje. Ona se obično izvodi u opštoj anesteziji,
putem bronhoskopije, i obično nema jačih neželjenih efekata.
Ponekad je suženje i zatvaranje disajnog puta izazvano pritiskom na njega
spolja pa se za uklanjanje te pojave primenjuje mala naprava zvana stent.
On se postavlja u unutrašnjost disajnog puta kako bi ga držao otvorenim,
ostaje u njemu stalno i ne izaziva veće poteškoće.

Simptomatska terapija
Podrazumeva lečenje simptoma, tj. subjektivnih tegoba bolesnika koje
su uzrokovane kako osnovnom bolešću tako i primenom odgovarajuće antitumorske
terapije. Cilj terapije je da se eliminišu ili ublaže tegobe kako bi kvalitet
svakodnevnog života obolelog bio što bolji. Od svih lekova koji se koriste
najveću ulogu imaju oni protiv bola, analgetici, koji se daju po određenoj
proceduri. Uvode se od slabijeg prema jačem, po potrebi kombinuju i daju
u takvim razmacima da spreče nastajanje bola.
Zaključak
Imajući u vidu faktore rizika za nastanak raka pluća i eliminišući ih
pravi se prvi korak ka prevenciji kancera pluća. Najvažniji aspekt prevencije
uključuje prestanak pušenja (ili ne počinjanje) duvanskih proizvoda. Istraživanja
su pokazala da uzimanjem hrane sa niskim procenatom masti, ishana bogata
vlaknima, uključujući najmanje pet porcija svežeg voća, povrća i žitarica
dnevno, može smanjiti rizik od raka pluća, kao i druge vrste raka i srčanih
bolesti.
Ostale mere prevencije uključuju što manju izloženost supstancama poput
azbesta, radona i arsenika.
Literatura
Vaporciyan, AA; Nesbitt JC, Lee JS et al. (2000). Cancer Medicine.
B C Decker
Villeneuve, PJ; Mao Y (November 1994). "Lifetime probability of
developing lung cancer, by smoking status, Canada". Canadian Journal
of Public Health
Salgia, R; Skarin AT (March 1998). "Molecular abnormalities in
lung cancer". Journal of Clinical Oncology
Registar za rak Instituta za zaštitu zdravlja Srbije “Batut” za 2000.
godinu (Publikacija “Incidenca i mortalitet od raka u Centralnoj Srbiji
1999”)
PROČITAJ
/ PREUZMI I DRUGE SEMINARSKE RADOVE IZ OBLASTI:
|
|
preuzmi
seminarski rad u wordu » » »
Besplatni
Seminarski Radovi
|